Receive 30% off all Monoclonal IHC antibodies with code "MONO-IHC-30"! Offer valid for US customers and available internationally through distributors.

Human LAMP1 Ready-To-Use IHC Kit

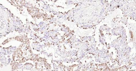
Immunohistochemical analysis of paraffin embedded human lung carcinoma tissue slide using IHC0137H (Human LAMP1 IHC Kit).
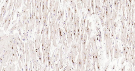
Immunohistochemical analysis of paraffin embedded human heart tissue slide using IHC0137H (Human LAMP1 IHC Kit).

Human LAMP1 Ready-To-Use IHC Kit

Cat. No.: IHC0137H
Sample Type:
FFPE tissue
Size:
50T (including a control slide)
Storage and Stability:
Please store components at the temperatures indicated on the individual tube labels. The kit is stable for 6 months from the date of receipt.

Background

LAMP1 (CD107a, lysosome-associated membrane protein-1) together with LAMP-2, is a major constituent of lysosomal membrane, 1-2% of total CD107a is found also on the plasma membrane. LAMP1 is a heavily glycosylated membrane protein which contains a putative signal peptide, 18 sites for N-linked glycosylation, a single membrane-spanning segment and a short (11 amino acid) cytosolic tail. The LAMP proteins are involved in lysosome biogenesis and are required for fusion of lysosomes with phagosomes. LAMP1 is a type 1 integral membrane protein that is transported from trans-Golgi network to endosomes and then lysosomes. Upon cell activation, LAMP1 transfer to the plasma membrane is dependent on a carboyxl-terminal tyrosine based motif (YXXI). Perturbation in the spacing between the tyrosine based motif relative to the membrane abolishes lysosome localization of LAMP1, and this mutant protein then cycles between the plasma membrane and the endosome. Cell surface LAMP1 (and LAMP2) have been shown to promote adhesion of human peripheral blood mononuclear cells (PBMC) to vascular endothelium, therefore, they are possibly involved in the adhesion of PBMC to the site of inflammation. Increased LAMP1 immunoreactivity is observed in neurons and glial cells surrounding senile plaques in Alzheimer's Disease (AD) cases, and is localized in medullary epithelial cells, single macrophages and lymphocytes in acute thymic involution. LAMP1 is a good marker of mast cell activation.

Synonyms

Synonyms

Materials Supplied

Number Component 50T Concentration Storage
1 PBS Buffer (powder) 2L x 2 20x RT
2 Antigen Retrieval Buffer 20ml 100x 2-8°C
3 Endogenous Peroxidase Blocking Buffer 3ml RTU 2-8°C
4 Blocking Buffer 3ml RTU 2-8°C
5 Primary Antibody (Human LAMP1 Rabbit pAb) 6ml RTU 2-8°C
6 Secondary Antibody (HRP-Goat anti-Rabbit IgG pAb) 6ml RTU 2-8°C
7 Chromogen Component A 0.3ml RTU -20°C
8 Chromogen Component B 0.3ml RTU -20°C
9 Counter Staining Reagent 5ml RTU RT
10 Differentiation Reagent 6ml RTU RT
11 Mounting Media 5ml RTU RT
12 Control slide (Human lung carcinoma) 1 slide RTU RT
13 Datasheet 1 copy

Notes

  1. The positive control slide provided in the kit allows you to be sure that the experimental set-up is working properly.
  2. Do not allow slides to dry at any time during this procedure.
  3. Please don't replace the matching reagents in this product with other manufacturers' products.
  4. As DAB is a carcinogen, please take necessary precautions.
  5. PBS (reagent 1) can be stored for one week at 4℃ after preparation; The antigen retrieval buffer (1×reagent 2) and the chromogenic agent (the mixture of reagents 7 and 8) should be prepared right before each assay.


Please cite this product as " IHC0136R, Bioss Antibodies". Citation example: “Rat tissue sections using Rat MYL2 IHC Kit (IHC0136R, Bioss Antibodies) were stained for MYL2 according to the manufacturer's instructions.

Important Note: This product as supplied is intended for research use only, not for use in human, therapeutic or diagnostic applications.