Receive 30% off all Monoclonal IHC antibodies with code "MONO-IHC-30"! Offer valid for US customers and available internationally through distributors.

Human ACE2 Ready-To-Use IHC Kit

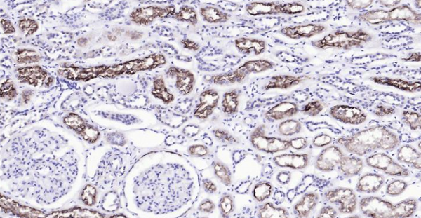
Immunohistochemical analysis of paraffin embedded human kidney tissue slide using IHC0118H (Human ACE2 IHC Kit).

Human ACE2 Ready-To-Use IHC Kit

Cat. No.: IHC0118H
Sample Type:
FFPE tissue
Size:
50T (including a control slide)
Storage and Stability:
Please store components at the temperatures indicated on the individual tube labels. The kit is stable for 6 months from the date of receipt.

Background

Angiotensin-converting enzyme 2 (ACE2) plays a central role in vascular, renal, and myocardial physiology. In contrast to its homolog ACE, ACE2 expression is restricted to heart, kidney, and testis. Recently. ACE2 has also been shown to be a functional receptor of the SARS coronavirus. The normal function of ACE2 is to convert the inactive vasoconstrictor angiotensin I (AngI) to Ang1-9 and the active form AngII to Ang1-7, unlike ACE, which converts AngI to AngII. While the role of these vasoactive peptides is not well understood, lack of ACE2 expression in ace2-/ace2- mice leads to severely reduced cardiac contractility, indicating its importance in regulating heart function.

Synonyms

ACE-2; ACE 2; Angiotensin converting enzyme 2; ACE related carboxypeptidase; ACEH; Angiotensin converting enzyme homolog; Angiotensin converting enzyme like protein; Angiotensin I Converting Enzyme (peptidyl dipeptidase A) 2; Angiotensin I converting enzyme 2; DKFZP434A014; EC 3.4.17; OTTHUMP00000022963; angiotensin-converting enzyme 2 precursor; ACE2_HUMAN; Angiotensin-converting enzyme 2; ACE-related carboxypeptidase; Angiotensin-converting enzyme homolog; Metalloprotease MPROT15; Processed angiotensin-converting enzyme 2.

Materials Supplied

Number Component 50T Concentration Storage
1 PBS Buffer (powder) 2L x 2 20x RT
2 Antigen Retrieval Buffer 20ml 100x 2-8°C
3 Endogenous Peroxidase Blocking Buffer 3ml RTU 2-8°C
4 Blocking Buffer 3ml RTU 2-8°C
5 Primary Antibody (Human ACE2 Rabbit pAb) 6ml RTU 2-8°C
6 Secondary Antibody (HRP-Goat anti-Rabbit IgG pAb) 6ml RTU 2-8°C
7 Chromogen Component A 0.3ml RTU -20°C
8 Chromogen Component B 0.3ml RTU -20°C
9 Counter Staining Reagent 5ml RTU RT
10 Differentiation Reagent 6ml RTU RT
11 Mounting Media 5ml RTU RT
12 Control slide (Human kidney) 1 slide RTU RT
13 Datasheet 1 copy

Notes

  1. The positive control slide provided in the kit allows you to be sure that the experimental set-up is working properly.
  2. Do not allow slides to dry at any time during this procedure.
  3. Please don't replace the matching reagents in this product with other manufacturers' products.
  4. As DAB is a carcinogen, please take necessary precautions.
  5. PBS (reagent 1) can be stored for one week at 4℃ after preparation; The antigen retrieval buffer (1×reagent 2) and the chromogenic agent (the mixture of reagents 7 and 8) should be prepared right before each assay.

Please cite this product as " IHC0118H, Bioss Antibodies".
Citation example: “Human tissue sections using Human ACE2 IHC Kit (IHC0118H, Bioss Antibodies ) were stained for ACE2 according to the manufacturer's instructions.

Important Note: This product as supplied is intended for research use only, not for use in human, therapeutic or diagnostic applications.