Receive 30% off all Monoclonal IHC antibodies with code "MONO-IHC-30"! Offer valid for US customers and available internationally through distributors.

Human AACT Ready-To-Use IHC Kit

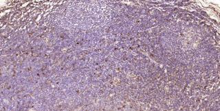
Immunohistochemical analysis of paraffin embedded human tonsil tissue slide using IHC0342H (Human AACT Kit).
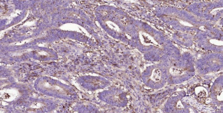
Immunohistochemical analysis of paraffin embedded human colon cancer tissue slide using IHC0342H (Human AACT Kit).

Human AACT Ready-To-Use IHC Kit

Cat. No.: IHC0342H
Sample Type:
FFPE tissue
Size:
50T (including a control slide)
Storage and Stability:
Please store components at the temperatures indicated on the individual tube labels. The kit is stable for 6 months from the date of receipt.

Background

SERPINA encodes Alpha 1-ACT. It is an early-stage acute-phase plasma protein and a serpin that preferentially inactivates chymotrypsin, cathepsin G, and chymase. Alpha-1-ACT, a serine protease inhibitor, is tightly associated with amyloid plaques in Alzheimer's disease (AD) and in normal aged human and monkey brain. Regulation of the serine proteases and serine protease inhibitors plays an important role in neuromuscular differentiation. Prostate specific antigen (PSA), a chymotrypsin-like serine protease, is predominantly complexed to Alpha-1-ACT.

Synonyms

Alpha 1-Antichymotrypsin, AACT-Alpha 1,SERPINA3, AACT, A1ACT, ACT, Alpha 1 Antichymotrypsin 1, Alpha 1 Antichymotrypsin 2, Alpha 1 Antichymotrypsin 3,Clade A (Alpha 1 Antiproteinase Antitrypsin), GIG24, GIG25, Growth inhibiting protein 24, Growth inhibiting protein 25, MGC88254, PI1, Protease Inhibitor 1, Serine (or Cysteine) Proteinase Inhibitor, Serine (or cysteine) proteinase inhibitor clade A (alpha 1 antiproteinase, antitrypsin) member 3, Serine (or cysteine) proteinase inhibitor clade A member 3, Serine proteinase inhibitor clade A member 3, Serpin peptidase inhibitor clade A (alpha 1 antiproteinase antitrypsin) member 3, SERPINA1, SERPINA2, SERPINA3, Serpin A3, Alpha-1-antichymotrypsin His-Pro-less, AACT_HUMAN.Validation Data

Materials Supplied

Number Component 50T Concentration Storage
1 PBS Buffer (powder) 2L x 2 20x RT
2 Antigen Retrieval Buffer 20ml 100x 2-8°C
3 Endogenous Peroxidase Blocking Buffer 3ml RTU 2-8°C
4 Blocking Buffer 3ml RTU 2-8°C
5 Primary Antibody (Human AACT Recombinant Rabbit mAb) 6ml RTU 2-8°C
6 Secondary Antibody (Goat Anti-Rabbit IgG H&L, HRP conjugated) 6ml RTU 2-8°C
7 Chromogen Component A 0.3ml RTU -20°C
8 Chromogen Component B 0.3ml RTU -20°C
9 Counter Staining Reagent 5ml RTU RT
10 Differentiation Reagent 6ml RTU RT
11 Mounting Media 5ml RTU RT
12 Control slide (Human tonsil) 1 slide RTU RT
13 Datasheet 1 copy

Notes

  1. The positive control slide provided in the kit allows you to be sure that the experimental set-up is working properly.
  2. Do not allow slides to dry at any time during this procedure.
  3. Please don't replace the matching reagents in this product with other manufacturers' products.
  4. As DAB is a carcinogen, please take necessary precautions.
  5. PBS (reagent 1) can be stored for one week at 4℃ after preparation; The antigen retrieval buffer (1×reagent 2) and the chromogenic agent (the mixture of reagents 7 and 8) should be prepared right before each assay.


As DAB is a carcinogen, please take necessary precautions.

Important Note: This product as supplied is intended for research use only, not for use in human, therapeutic or diagnostic applications.