RECEIVE 25% OFF PUBLISHED ANTIBODIES WITH CODE "PUB25"! Offer valid for US customers and available internationally through distributors.

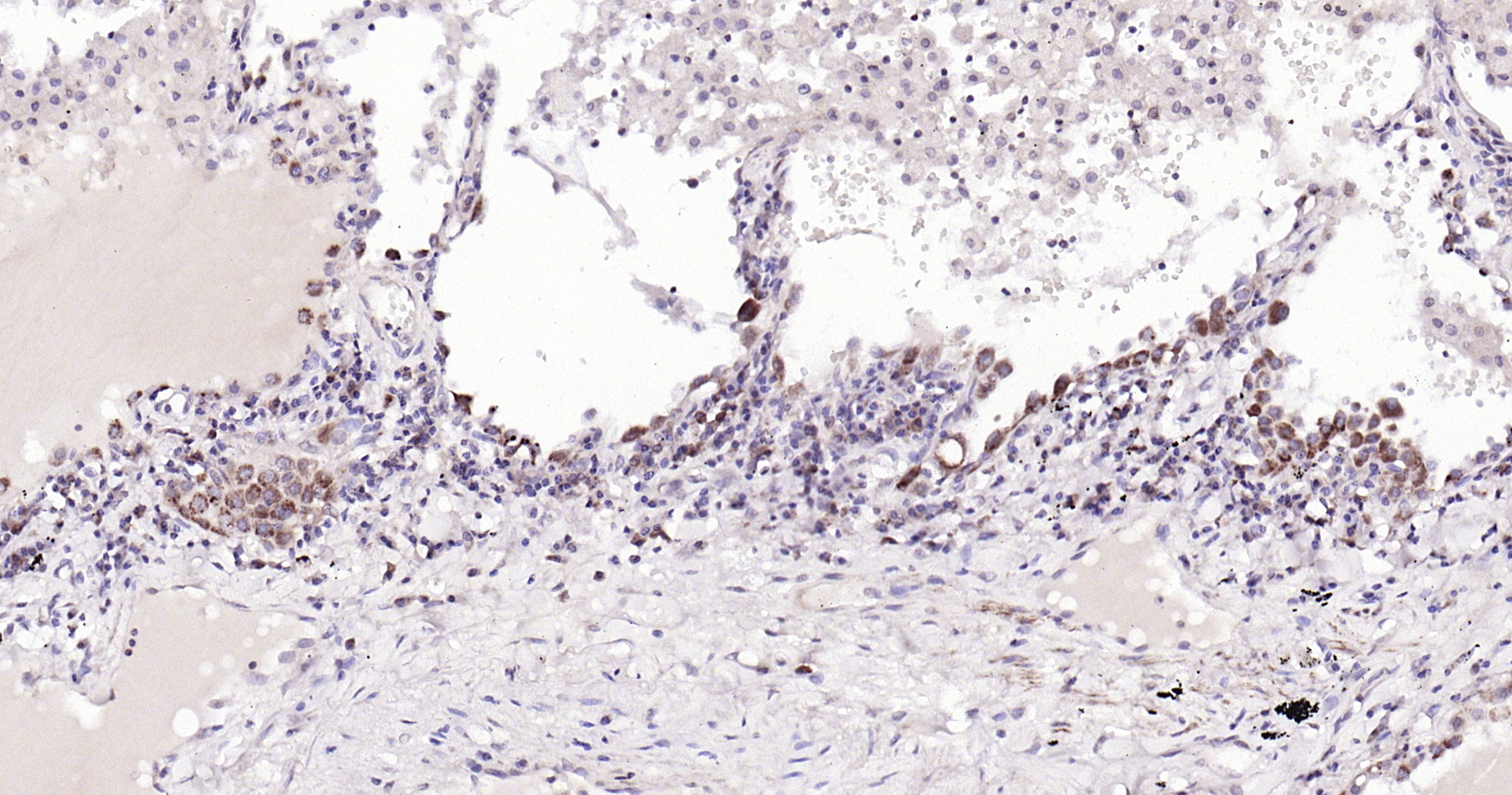
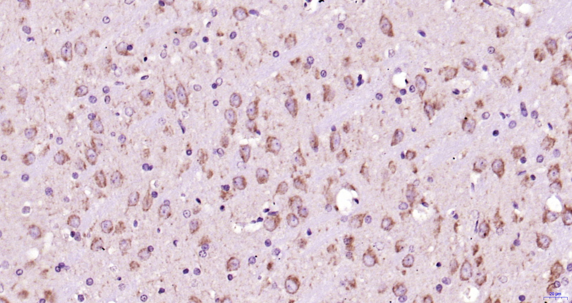
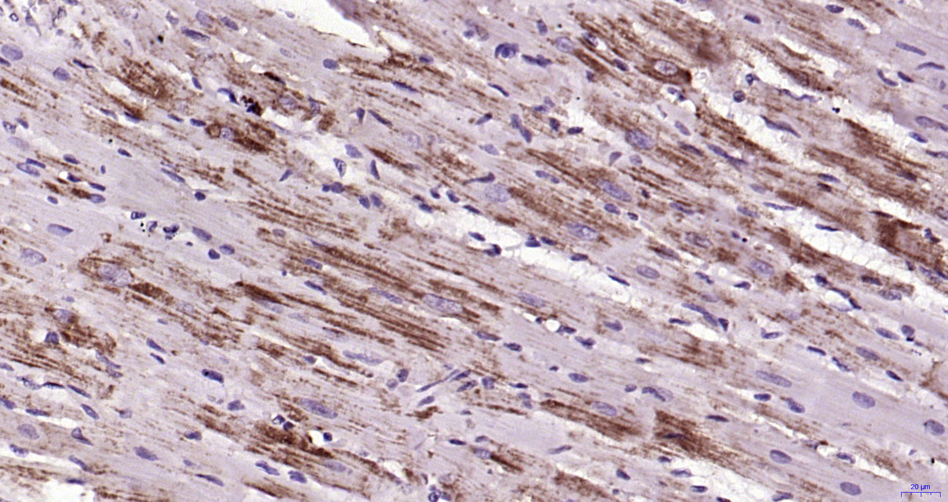
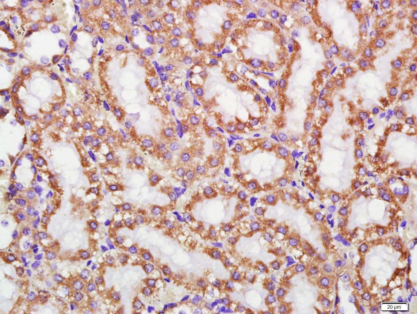
Cytochrome C Monoclonal Antibody

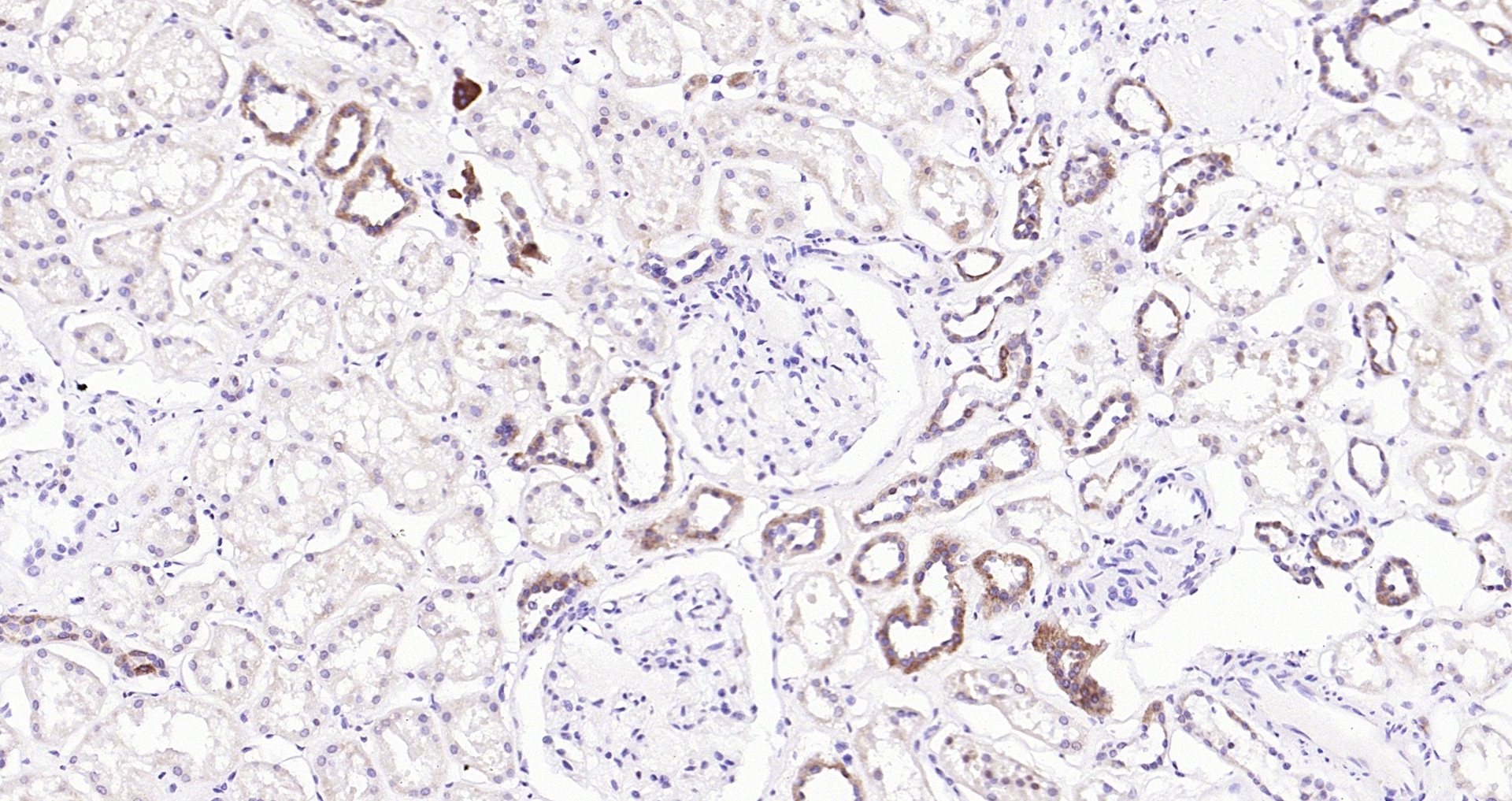
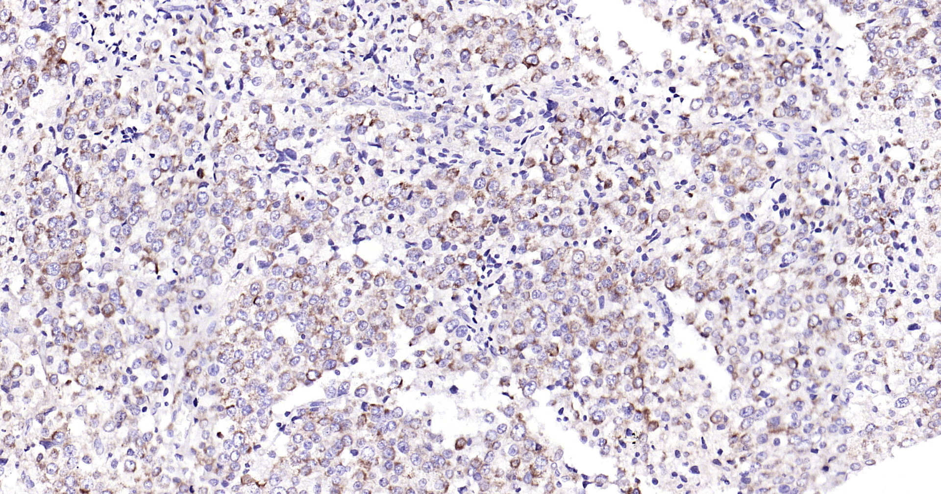
Applications

  • WB
  • IHC-P
  • IHC-F
  • IF
  • ICC/IF

Reactivity

  • Human
  • Rat
  • Rabbit
Overview
Catalog # bsm-33193m
Product Name Cytochrome C Monoclonal Antibody
Applications WB, IHC-P, IHC-F, IF, ICC/IF
Reactivity Human, Rat, Rabbit
Specifications
Conjugation Unconjugated
Host Mouse
Source Recombinant human Cytochrome C Protein
Clonality Monoclonal
Clone # 6B10
Isotype IgG
Concentration 1ug/ul
Purification Purified by Protein A.
Storage Buffer 0.01M TBS(pH7.4) with 1% BSA, 0.02% Proclin300 and 50% Glycerol.
Storage Condition Shipped at 4C. Store at -20C for one year. Avoid repeated freeze/thaw cycles.
Target
Gene ID 54205
Swiss Prot P99999
Synonyms Cytochrome c; CYCS
Background Electron carrier protein. The oxidized form of the cytochrome c heme group can accept an electron from the heme group of the cytochrome c1 subunit of cytochrome reductase. Cytochrome c then transfers this electron to the cytochrome oxidase complex, the final protein carrier in the mitochondrial electron-transport chain. Plays a role in apoptosis. Suppression of the anti-apoptotic members or activation of the pro-apoptotic members of the Bcl-2 family leads to altered mitochondrial membrane permeability resulting in release of cytochrome c into the cytosol. Binding of cytochrome c to Apaf-1 triggers the activation of caspase-9, which then accelerates apoptosis by activating other caspases.
Application Dilution
WB 1:300-5000
IHC-P 1:200-400
IHC-F 1:100-500
IF
ICC/IF 1:50-100