RECEIVE 25% OFF PUBLISHED ANTIBODIES WITH CODE "PUB25"! Offer valid for US customers and available internationally through distributors.

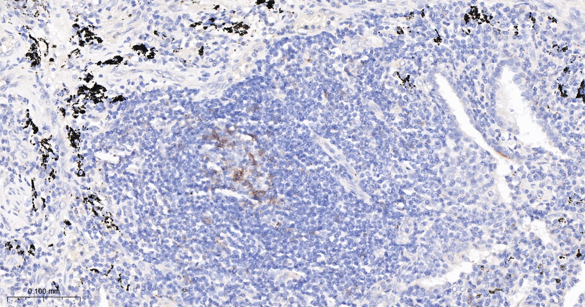
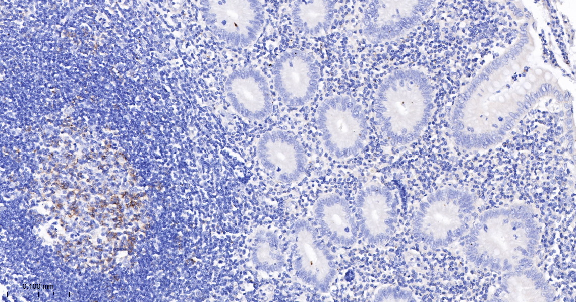
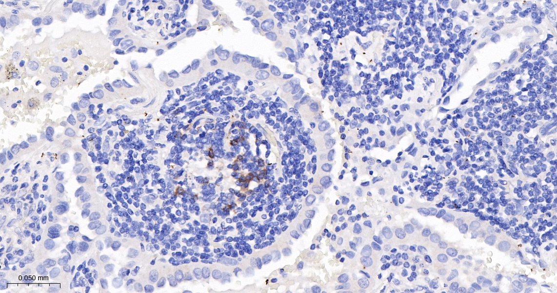
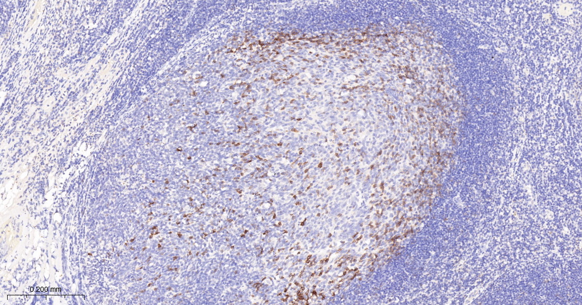
PD-1 Monoclonal Antibody

Applications

  • ELISA
  • IHC-P
  • IHC-F
  • IF(IHC-P)

Reactivity

  • Human
Overview
Catalog # bsm-43072m-100ul
Product Name PD-1 Monoclonal Antibody
Applications ELISA, IHC-P, IHC-F, IF(IHC-P)
Reactivity Human
Specifications
Conjugation Unconjugated
Host Mouse
Source Recombinant human PD-1 protein
Clonality Monoclonal
Clone # 1A5
Isotype IgG
Concentration 1mg/ml
Purification Purified by Protein A.
Storage Buffer 0.01M TBS(pH7.4) with 1% BSA, 0.02% Proclin300 and 50% Glycerol.
Storage Condition Shipped at 4C. Store at -20C for one year. Avoid repeated freeze/thaw cycles.
Target
Gene ID 29126
Swiss Prot Q15116
Subcellular location Secreted, Extracellular matrix
Synonyms Programmed cell death protein 1; CD279; CD279 antigen; hPD 1; hPD-1; hSLE1; PD 1; PD1; PDCD 1; PDCD1; PDCD1_HUMAN; Programmed cell death 1; Protein PD 1; Protein PD-1; SLEB2; Systemic lupus erythematosus susceptibility 2.
Application Dilution
ELISA 1:5000-10000
IHC-P IHC-P1:100-500
IHC-F IHC-F1:100-500
IF(IHC-P) IFIHC-P1:100-500