RECEIVE 25% OFF PUBLISHED ANTIBODIES WITH CODE "PUB25"! Offer valid for US customers and available internationally through distributors.

CD30 Monoclonal Antibody

Applications

  • WB
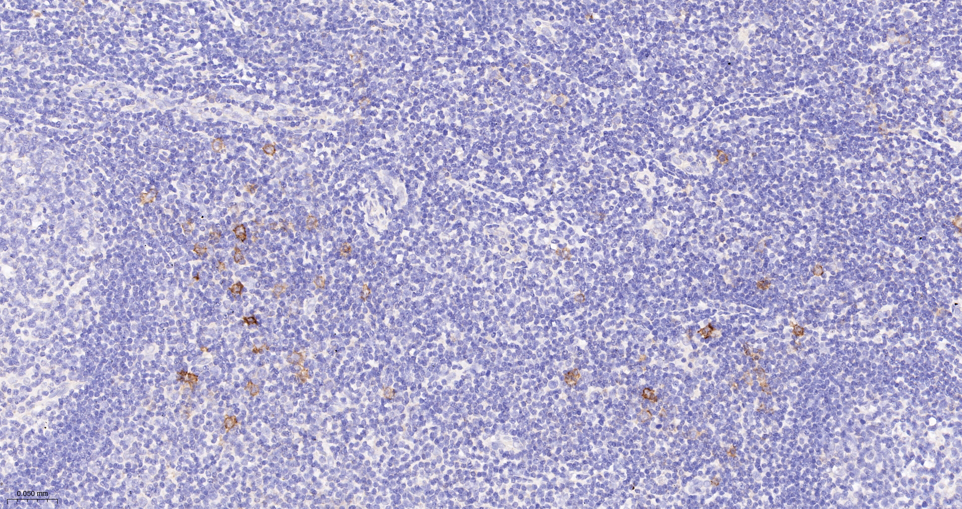
  • IHC-P
  • IHC-F
  • IF(IHC-P)

Reactivity

  • Human
Overview
Catalog # bsm-54798r-100ul
Product Name CD30 Monoclonal Antibody
Applications WB, IHC-P, IHC-F, IF(IHC-P)
Reactivity Human
Specifications
Conjugation Unconjugated
Host Rabbit
Source KLH conjugated synthetic peptide derived from human CD3
Clonality Monoclonal
Isotype IgG
Concentration Lot dependent
Purification Purified by Protein A.
Storage Buffer 0.01M TBS(pH7.4) with 1% BSA, 0.02% Proclin300 and 50% Glycerol.
Storage Condition Store at 4°C for up to 2 weeks. For long term storage, store at -20°C in small aliquots to prevent freeze-thaw cycles.
Target
Gene ID 943
Swiss Prot P28908
Subcellular location Cytoplasm, Cell membrane
Synonyms CD 30; CD30 antigen; CD30L receptor; Cytokine receptor CD30; D1S166E; KI 1; Ki 1 antigen; Ki-1 antigen; KI1; Lymphocyte activation antigen CD30; TNFRSF 8; TNFRSF8; TNR8_HUMAN; Tumor Necrosis Factor Receptor Superfamily Member 8; Tumor Necrosis Factor Receptor Superfamily Member 8.
Background Receptor for TNFSF8/CD30L. May play a role in the regulation of cellular growth and transformation of activated lymphoblasts. Regulates gene expression through activation of NF-kappa-B.
Application Dilution
WB 1:1000-5000
IHC-P IHC-P1:100-500
IHC-F IHC-F1:100-500
IF(IHC-P) IFIHC-P1:100-500