Receive 30% off all Monoclonal IHC antibodies with code "MONO-IHC-30"! Offer valid for US customers and available internationally through distributors.

Human CDKN3 Ready-To-Use IHC Kit

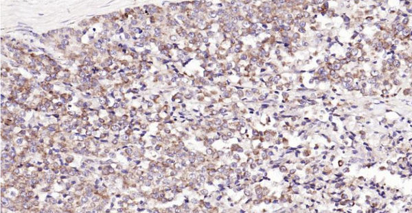
Immunohistochemical analysis of paraffin embedded human prostate tumor tissue slide using IHC0119H (Human CDKN3 IHC Kit).

Human CDKN3 Ready-To-Use IHC Kit

Cat. No.: IHC0119H
Sample Type:
FFPE tissue
Size:
50T (including a control slide)
Storage and Stability:
Please store components at the temperatures indicated on the individual tube labels. The kit is stable for 6 months from the date of receipt.

Background

The protein encoded by this gene belongs to the dual specificity protein phosphatase family. It was identified as a cyclin-dependent kinase inhibitor, and has been shown to interact with, and dephosphorylate CDK2 kinase, thus prevent the activation of CDK2 kinase. This gene was reported to be deleted, mutated, or overexpressed in several kinds of cancers. Alternatively spliced transcript variants encoding different isoforms have been found for this gene.

Synonyms

Cdk associated protein phosphatase; CDI1; CDK2 associated dual specificity phosphatase; CIP2; Cyclin dependent kinase inhibitor 3; Cyclin dependent kinase interactor 1; Cyclin dependent kinase-interacting protein 2; KAP1; Kinase associated phosphatase.

Materials Supplied

Number Component 50T Concentration Storage
1 PBS Buffer (powder) 2L x 2 20x RT
2 Antigen Retrieval Buffer 20ml 100x 2-8°C
3 Endogenous Peroxidase Blocking Buffer 3ml RTU 2-8°C
4 Blocking Buffer 3ml RTU 2-8°C
5 Primary Antibody (Human CDKN3 Rabbit pAb) 6ml RTU 2-8°C
6 Secondary Antibody (HRP-Goat anti-Rabbit IgG pAb) 6ml RTU 2-8°C
7 Chromogen Component A 0.3ml RTU -20°C
8 Chromogen Component B 0.3ml RTU -20°C
9 Counter Staining Reagent 5ml RTU RT
10 Differentiation Reagent 6ml RTU RT
11 Mounting Media 5ml RTU RT
12 Control slide (Human prostate tumor) 1 slide RTU RT
13 Datasheet 1 copy

Notes

  1. The positive control slide provided in the kit allows you to be sure that the experimental set-up is working properly.
  2. Do not allow slides to dry at any time during this procedure.
  3. Please don't replace the matching reagents in this product with other manufacturers' products.
  4. As DAB is a carcinogen, please take necessary precautions.
  5. PBS (reagent 1) can be stored for one week at 4℃ after preparation; The antigen retrieval buffer (1×reagent 2) and the chromogenic agent (the mixture of reagents 7 and 8) should be prepared right before each assay.

Please cite this product as " IHC0119H, Bioss Antibodies".
Citation example: “Human tissue sections using Human CDKN3 IHC Kit (IHC0119H, Bioss Antibodies) were stained for CDKN3 according to the manufacturer's instructions.

Important Note: This product as supplied is intended for research use only, not for use in human, therapeutic or diagnostic applications.