Receive 30% off all Monoclonal IHC antibodies with code "MONO-IHC-30"! Offer valid for US customers and available internationally through distributors.

Human CEACAM5 Ready-To-Use IHC Kit

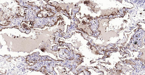
Immunohistochemical analysis of paraffin embedded human lung cancer tissue slide using IHC0132H (Human CEACAM5 IHC Kit).

Human CEACAM5 Ready-To-Use IHC Kit

Cat. No.: IHC0132H
Sample Type:
FFPE tissue
Size:
50T (including a control slide)
Storage and Stability:
Please store components at the temperatures indicated on the individual tube labels. The kit is stable for 6 months from the date of receipt.

Background

CEA (Carcino Embryonic Antigen, CD66e) is synthesized during development in the fetal gut, and re-expressed in increased amounts in intestinal carcinomas and several other tumors. CEA is a member of carcinoembryonic antigens, immunoglobulin supergene family and consists of a single N domain (structural homology to the immunoglobulin variable) and six immunoglobulin constant-like A (A1, A2, A3) and B domains (B1, B2, B3). Antibodies to CEA are useful in identifying the origin of various metastatic adenocarcinomas and in distinguishing pulmonary adenocarcinomas (60 to 70% are CEA+) from pleural mesotheliomas (rarely or weakly CEA+). CEA is a member of a large family of glycoproteins, a useful tumor marker for adenocarcinoma, and found in adenocarcinomas of endodermally derived digestive system epithelium and fetal colon. Two subgroups of the CEA family, the CEA cell adhesion molecules and the pregnancy-specific glycoproteins, are located within a 1.2 Mb cluster on the long arm of chromosome 19. Eleven pseudogenes of the CEA cell adhesion molecule subgroup are also found in the cluster. CEA was originally described in bile ducts of liver as biliary glycoprotein. Subsequently, CEA was found to be a cell-cell adhesion molecule detected on leukocytes, epithelia, and endothelia. The encoded protein mediates cell adhesion via homophilic as well as heterophilic binding to other proteins of the subgroup. Multiple cellular activities have been attributed to the encoded protein, including roles in the differentiation and arrangement of tissue three-dimensional structure, angiogenesis, apoptosis, tumor suppression, metastasis, and the modulation of innate and adaptive immune responses. Multiple transcript variants encoding different isoforms have been reported, but the full-length nature of all variants has not been defined.

Synonyms

Carcinoembryonic antigen; Carcinoembryonic antigen related cell adhesion molecule 5; Carcinoembryonic antigen-related cell adhesion molecule 5; CD66e; CD66e antigen; CEACAM5; CEAM5_HUMAN; DKFZp781M2392; Meconium antigen 100.

Materials Supplied

Number Component 50T Concentration Storage
1 PBS Buffer (powder) 2L x 2 20x RT
2 Antigen Retrieval Buffer 20ml 100x 2-8°C
3 Endogenous Peroxidase Blocking Buffer 3ml RTU 2-8°C
4 Blocking Buffer 3ml RTU 2-8°C
5 Primary Antibody (Human CEACAM5 Mouse mAb) 6ml RTU 2-8°C
6 Secondary Antibody (HRP-Goat anti-Mouse IgG pAb) 6ml RTU 2-8°C
7 Chromogen Component A 0.3ml RTU -20°C
8 Chromogen Component B 0.3ml RTU -20°C
9 Counter Staining Reagent 5ml RTU RT
10 Differentiation Reagent 6ml RTU RT
11 Mounting Media 5ml RTU RT
12 Control slide (Human colon) 1 slide RTU RT
13 Datasheet 1 copy

Notes

  1. The positive control slide provided in the kit allows you to be sure that the experimental set-up is working properly.
  2. Do not allow slides to dry at any time during this procedure.
  3. Please don't replace the matching reagents in this product with other manufacturers' products.
  4. As DAB is a carcinogen, please take necessary precautions.
  5. PBS (reagent 1) can be stored for one week at 4℃ after preparation; The antigen retrieval buffer (1×reagent 2) and the chromogenic agent (the mixture of reagents 7 and 8) should be prepared right before each assay.

Please don't replace the matching reagents in this product with other manufacturers' products.
As DAB is a carcinogen, please take necessary precautions.

Important Note: This product as supplied is intended for research use only, not for use in human, therapeutic or diagnostic applications.