Receive 30% off all Monoclonal IHC antibodies with code "MONO-IHC-30"! Offer valid for US customers and available internationally through distributors.

Human ATP1A1 Ready-To-Use IHC Kit

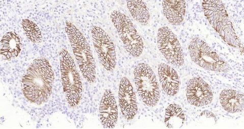
Immunohistochemical analysis of paraffin embedded human appendix tissue slide using IHC0139H (Human ATP1A1 IHC Kit).

Human ATP1A1 Ready-To-Use IHC Kit

Cat. No.: IHC0139H
Sample Type:
FFPE tissue
Size:
50T (including a control slide)
Storage and Stability:
Please store components at the temperatures indicated on the individual tube labels. The kit is stable for 6 months from the date of receipt.

Background

The protein encoded by this gene belongs to the family of P-type cation transport ATPases, and to the subfamily of Na+/K+ -ATPases. Na+/K+ -ATPase is an integral membrane protein responsible for establishing and maintaining the electrochemical gradients of Na and K ions across the plasma membrane. These gradients are essential for osmoregulation, for sodium-coupled transport of a variety of organic and inorganic molecules, and for electrical excitability of nerve and muscle. This enzyme is composed of two subunits, a large catalytic subunit (alpha) and a smaller glycoprotein subunit (beta). The catalytic subunit of Na+/K+ -ATPase is encoded by multiple genes. This gene encodes an alpha 1 subunit. Multiple transcript variants encoding different isoforms have been found for this gene.

Synonyms

ATP1A1, alpha 1 Sodium Potassium ATPase,A1A1, AT1A1, AT1A1_HUMAN, Atpa-1, ATPase Na+/K+ transporting alpha 1 polypeptide, ATPase Na+/K+ transporting subunit alpha 1, BC010319, EC 3.6.3.9, MGC3285, MGC38419, MGC51750, Na K ATPase alpha A catalytic polypeptide, Na K ATPase catalytic subunit alpha A protein, Na(+)/K(+) ATPase 1, Na(+)/K(+) ATPase alpha-1 subunit, Na+, K+ ATPase alpha subunit, Na+/K+ ATPase alpha 1 subunit, Na+/K+ ATPase 1, Na,K ATPase alpha 1 subunit, Nkaa1b, Sodium potassium ATPase alpha 1 polypeptide, Sodium pump 1, Sodium pump subunit alpha-1, sodium-potassium ATPase catalytic subunit alpha-1, Sodium/potassium-transporting ATPase subunit alpha-1.

Materials Supplied

Number Component 50T Concentration Storage
1 PBS Buffer (powder) 2L x 2 20x RT
2 Antigen Retrieval Buffer 20ml 100x 2-8°C
3 Endogenous Peroxidase Blocking Buffer 3ml RTU 2-8°C
4 Blocking Buffer 3ml RTU 2-8°C
5 Primary Antibody (Human ATP1A1 Rabbit pAb) 6ml RTU 2-8°C
6 Secondary Antibody (HRP-Goat anti-Rabbit IgG pAb) 6ml RTU 2-8°C
7 Chromogen Component A 0.3ml RTU -20°C
8 Chromogen Component B 0.3ml RTU -20°C
9 Counter Staining Reagent 5ml RTU RT
10 Differentiation Reagent 6ml RTU RT
11 Mounting Media 5ml RTU RT
12 Control slide (Human duodenum) 1 slide RTU RT
13 Datasheet 1 copy

Notes

  1. The positive control slide provided in the kit allows you to be sure that the experimental set-up is working properly.
  2. Do not allow slides to dry at any time during this procedure.
  3. Please don't replace the matching reagents in this product with other manufacturers' products.
  4. As DAB is a carcinogen, please take necessary precautions.
  5. PBS (reagent 1) can be stored for one week at 4℃ after preparation; The antigen retrieval buffer (1×reagent 2) and the chromogenic agent (the mixture of reagents 7 and 8) should be prepared right before each assay.


Please cite this product as " IHC0136R, Bioss Antibodies". Citation example: “Rat tissue sections using Rat MYL2 IHC Kit (IHC0136R, Bioss Antibodies) were stained for MYL2 according to the manufacturer's instructions.

Important Note: This product as supplied is intended for research use only, not for use in human, therapeutic or diagnostic applications.