Receive 30% off all Monoclonal IHC antibodies with code "MONO-IHC-30"! Offer valid for US customers and available internationally through distributors.

Human Desmin Ready-To-Use IHC Kit

Immunohistochemical analysis of paraffin embedded human heart tissue slide using IHC0143H (Human Desmin IHC Kit).
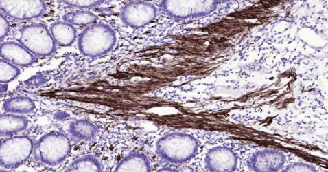
Immunohistochemical analysis of paraffin embedded human colon tissue slide using IHC0143H (Human Desmin IHC Kit).

Human Desmin Ready-To-Use IHC Kit

Cat. No.: IHC0143H
Sample Type:
FFPE tissue
Size:
50T (including a control slide)
Storage and Stability:
Please store components at the temperatures indicated on the individual tube labels. The kit is stable for 6 months from the date of receipt.

Background

Desmin (approximately 53 kDa) exhibits a high degree of tissue specificity, its expression being predominantly confined to all types of muscle cells (cardiac, skeletal and smooth muscle). Regulation of desmin expression is stage and tissue-specific, since it is induced during terminal development of, for example, skeletal muscle cell differentiation. In skeletal en cardiac muscle cells desmin is localized in the Z-disk region and at the intercalated disk. The expression pattern of desmin in smooth muscle is much more heterogenous. Coexpression of vimentin and desmin has been observed in tumors derived from muscle tissue, i.e. rhabdomyosarcomas and leiomyosarcomas. Furthermore, during myocard dysfunction dramatic changes in the distribution of desmin have been observed.

Synonyms

CSM1; CSM2; DES; I79_018932; LGMD2R.

Materials Supplied

Number Component 50T Concentration Storage
1 PBS Buffer (powder) 2L x 2 20x RT
2 Antigen Retrieval Buffer 20ml 100x 2-8°C
3 Endogenous Peroxidase Blocking Buffer 3ml RTU 2-8°C
4 Blocking Buffer 3ml RTU 2-8°C
5 Primary Antibody (Human Desmin Rabbit mAb) 6ml RTU 2-8°C
6 Secondary Antibody (HRP-Goat anti-Rabbit IgG pAb) 6ml RTU 2-8°C
7 Chromogen Component A 0.3ml RTU -20°C
8 Chromogen Component B 0.3ml RTU -20°C
9 Counter Staining Reagent 5ml RTU RT
10 Differentiation Reagent 6ml RTU RT
11 Mounting Media 5ml RTU RT
12 Control slide (Human heart) 1 slide RTU RT
13 Datasheet 1 copy

Notes

  1. The positive control slide provided in the kit allows you to be sure that the experimental set-up is working properly.
  2. Do not allow slides to dry at any time during this procedure.
  3. Please don't replace the matching reagents in this product with other manufacturers' products.
  4. As DAB is a carcinogen, please take necessary precautions.
  5. PBS (reagent 1) can be stored for one week at 4℃ after preparation; The antigen retrieval buffer (1×reagent 2) and the chromogenic agent (the mixture of reagents 7 and 8) should be prepared right before each assay.


As DAB is a carcinogen, please take necessary precautions.

Important Note: This product as supplied is intended for research use only, not for use in human, therapeutic or diagnostic applications.