Receive 30% off all Monoclonal IHC antibodies with code "MONO-IHC-30"! Offer valid for US customers and available internationally through distributors.

Human Notch1 Ready-To-Use IHC Kit

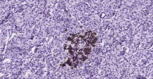
Immunohistochemical analysis of paraffin embedded human pancreas tissue slide using IHC0211H (Human Notch1 IHC Kit).

Human Notch1 Ready-To-Use IHC Kit

Cat. No.: IHC0211H
Sample Type:
FFPE tissue
Size:
50T (including a control slide)
Storage and Stability:
Please store components at the temperatures indicated on the individual tube labels. The kit is stable for 6 months from the date of receipt.

Background

The notch gene belongs to a family of epidermal growth factor (EGF) like homeotic genes, which encode transmembrane proteins with a variable number of cysteine-rich EGF-like repeats in the extracellular region. Four notch genes have been described in mammals: Notch1, Notch2, Notch3 and Notch4(Int-3), which have been implicated in the differentiation of the nervous system and other structures. The EGF-like proteins Delta and Serrate have been identified as ligands of Notch1. Mature Notch proteins are heterodimeric receptors derived from the cleavage of Notch pre-proteins into an extracellular subunit (NEC) containing multiple EGF-like repeats and a transmembrane subunit including intracellular region (Ntm).

Synonyms

9930111A19Rik; AOS5; AOVD1; hN1; lin-12; Mis6; Motch; N1; NOTCH1; TAN1; Notch 1 extracellular truncation; Notch 1 intracellular domain; hN1; Lin-12; LIN12; MIS6; Motch A; mT14; Neurogenic locus notch homolog protein 1; Neurogenic locus notch protein homolog; NICD; Notch1 intracellular domain; NOTC1_HUMAN; Notch 1; NOTCH; Notch gene homolog 1 (Drosophila); Notch homolog 1 translocation associated (Drosophila); Notch homolog 1; translocation-associated (Drosophila); NOTCH; Drosophila; homolog of; 1; notch1; p300; TAN 1; Translocation Associated Notch Homolog; Translocation Associated Notch Homolog; Translocation associated notch protein TAN 1; Translocation-associated notch protein TAN-1.

Materials Supplied

Number Component 50T Concentration Storage
1 PBS Buffer (powder) 2L x 2 20x RT
2 Antigen Retrieval Buffer 20ml 100x 2-8°C
3 Endogenous Peroxidase Blocking Buffer 3ml RTU 2-8°C
4 Blocking Buffer 3ml RTU 2-8°C
5 Primary Antibody (Human Notch1 Recombinant Rabbit mAb) 6ml RTU 2-8°C
6 Secondary Antibody (Goat Anti-Rabbit IgG H&L / HRP) 6ml RTU 2-8°C
7 Chromogen Component A 0.3ml RTU -20°C
8 Chromogen Component B 0.3ml RTU -20°C
9 Counter Staining Reagent 5ml RTU RT
10 Differentiation Reagent 6ml RTU RT
11 Mounting Media 5ml RTU RT
12 Control slide (Human pancreas) 1 slide RTU RT
13 Datasheet 1 copy

Notes

  1. The positive control slide provided in the kit allows you to be sure that the experimental set-up is working properly.
  2. Do not allow slides to dry at any time during this procedure.
  3. Please don't replace the matching reagents in this product with other manufacturers' products.
  4. As DAB is a carcinogen, please take necessary precautions.
  5. PBS (reagent 1) can be stored for one week at 4℃ after preparation; The antigen retrieval buffer (1×reagent 2) and the chromogenic agent (the mixture of reagents 7 and 8) should be prepared right before each assay.


As DAB is a carcinogen, please take necessary precautions.

Important Note: This product as supplied is intended for research use only, not for use in human, therapeutic or diagnostic applications.