Receive 30% off all Monoclonal IHC antibodies with code "MONO-IHC-30"! Offer valid for US customers and available internationally through distributors.

Mouse NCAM Ready-To-Use IHC Kit

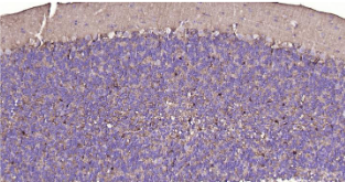
Immunohistochemical analysis of paraffin embedded mouse cerebellum tissue slide using IHC0213M (Mouse NCAM IHC Kit).

Mouse NCAM Ready-To-Use IHC Kit

Cat. No.: IHC0213M
Sample Type:
FFPE tissue
Size:
50T (including a control slide)
Storage and Stability:
Please store components at the temperatures indicated on the individual tube labels. The kit is stable for 6 months from the date of receipt.

Background

Polysialic acid is a long homopolymer of sialic acid that is negatively charged and is attached to neural cell adhesion molecule (CD56) and serves as a regulator of NCAM function. PSA attachment to NCAM is associated with inhibited adhesion of neural cells. PSA-NCAM expression is highly regulated and corresponds to specific neural developmental windows in which neural precursors are migrating and during the process of axonal sprouting, guidance, and targeting. PSA-NCAM expression is prevalent during development of the brain, but in the adult becomes restricted to regions undergoing self-renewal or exhibiting plasticity such as the olfactory bulb, suprachiasmatic nucleus, hippocampus, hypothalamus, and specific spinal cord nuclei. PSA-NCAM is re-expressed during tumorigenesis and is also expressed on cell lines isolated from neuroblastomas and pheochromocytomas.

Synonyms

CD56; E-NCAM; MSK39; N-CAM; N-CAM-1; NCAM; NCAM-1; NCAM-C; NCAM1; NCAMC; CD56 antigen; Cell Adhesion Molecule Neural 1; N CAM 120; N CAM 180; NCAM 1; NCAM 120; NCAM 140.

Materials Supplied

Number Component 50T Concentration Storage
1 PBS Buffer (powder) 2L x 2 20x RT
2 Antigen Retrieval Buffer 20ml 100x 2-8°C
3 Endogenous Peroxidase Blocking Buffer 3ml RTU 2-8°C
4 Blocking Buffer 3ml RTU 2-8°C
5 Primary Antibody (Mouse NCAM Recombinant Rabbit mAb) 6ml RTU 2-8°C
6 Secondary Antibody (Goat Anti-Rabbit IgG H&L / HRP) 6ml RTU 2-8°C
7 Chromogen Component A 0.3ml RTU -20°C
8 Chromogen Component B 0.3ml RTU -20°C
9 Counter Staining Reagent 5ml RTU RT
10 Differentiation Reagent 6ml RTU RT
11 Mounting Media 5ml RTU RT
12 Control slide (Mouse cerebellum) 1 slide RTU RT
13 Datasheet 1 copy

Notes

  1. The positive control slide provided in the kit allows you to be sure that the experimental set-up is working properly.
  2. Do not allow slides to dry at any time during this procedure.
  3. Please don't replace the matching reagents in this product with other manufacturers' products.
  4. As DAB is a carcinogen, please take necessary precautions.
  5. PBS (reagent 1) can be stored for one week at 4℃ after preparation; The antigen retrieval buffer (1×reagent 2) and the chromogenic agent (the mixture of reagents 7 and 8) should be prepared right before each assay.


As DAB is a carcinogen, please take necessary precautions.

Important Note: This product as supplied is intended for research use only, not for use in human, therapeutic or diagnostic applications.