Receive 30% off all Monoclonal IHC antibodies with code "MONO-IHC-30"! Offer valid for US customers and available internationally through distributors.

Human CD68 Ready-To-Use IHC Kit

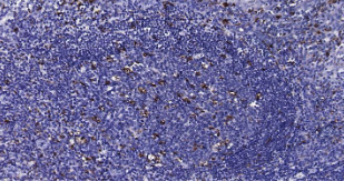
Immunohistochemical analysis of paraffin embedded human tonsil tissue slide using IHC0217H (Human CD68 IHC Kit).
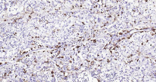
Immunohistochemical analysis of paraffin embedded human lung cancer tissue slide using IHC0217H (Human CD68 IHC Kit).
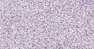
Immunohistochemical analysis of paraffin embedded human liver tissue slide using IHC0217H (Human CD68 IHC Kit).
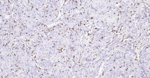
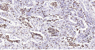
Immunohistochemical analysis of paraffin embedded human cervical cancer tissue slide using IHC0217H (Human CD68 IHC Kit).
Immunohistochemical analysis of paraffin embedded human endometrial carcinoma tissue slide using IHC0217H (Human CD68 IHC Kit).

Human CD68 Ready-To-Use IHC Kit

Cat. No.: IHC0217H
Sample Type:
FFPE tissue
Size:
50T (including a control slide)
Storage and Stability:
Please store components at the temperatures indicated on the individual tube labels. The kit is stable for 6 months from the date of receipt.

Background

CD68 (Macrosialin) is a 110 kDa integral membrane glycoprotein predominantly expressed on the intracellular lysomsomes of monocytes and macrophages and to a lesser extent by dendritic cells and peripheral blood granulocytes. Also, CD68 could play a role in phagocytic activities of tissue macrophages, both in intracellular lysosomal metabolism and extracellular cell-cell and cell-pathogen interactions. CD68 is expressed by interdigitating reticulum cells in tonsil and some histiocytic lymphoma or histiocytosis, acute myeloid leukemia (AML), and granulocytic sarcoma. Elevated expression of CD68 has been demonstrated on CD34+ cells in various human malignancies, including several Acute Myeloid Leukemia studies.

Synonyms

CD68; GP110; LAMP4; SCARD1; CD 68; CD68 antigen; CD68 molecule; DKFZp686M18236; Macrophage antigen CD68 (microsialin); macrosialin; Scavenger receptor class D member 1; macrosialin isoform A precursor; CD68_HUMAN; Macrosialin; Gp110; scavenger receptor class D; member 1; macrophage antigen CD68.

Materials Supplied

Number Component 50T Concentration Storage
1 PBS Buffer (powder) 2L x 2 20x RT
2 Antigen Retrieval Buffer 20ml 100x 2-8°C
3 Endogenous Peroxidase Blocking Buffer 3ml RTU 2-8°C
4 Blocking Buffer 3ml RTU 2-8°C
5 Primary Antibody (Human CD68 Recombinant Rabbit mAb) 6ml RTU 2-8°C
6 Secondary Antibody (Goat Anti-Rabbit IgG H&L / HRP) 6ml RTU 2-8°C
7 Chromogen Component A 0.3ml RTU -20°C
8 Chromogen Component B 0.3ml RTU -20°C
9 Counter Staining Reagent 5ml RTU RT
10 Differentiation Reagent 6ml RTU RT
11 Mounting Media 5ml RTU RT
12 Control slide (Human tonsil) 1 slide RTU RT
13 Datasheet 1 copy

Notes

  1. The positive control slide provided in the kit allows you to be sure that the experimental set-up is working properly.
  2. Do not allow slides to dry at any time during this procedure.
  3. Please don't replace the matching reagents in this product with other manufacturers' products.
  4. As DAB is a carcinogen, please take necessary precautions.
  5. PBS (reagent 1) can be stored for one week at 4℃ after preparation; The antigen retrieval buffer (1×reagent 2) and the chromogenic agent (the mixture of reagents 7 and 8) should be prepared right before each assay.


As DAB is a carcinogen, please take necessary precautions.

Important Note: This product as supplied is intended for research use only, not for use in human, therapeutic or diagnostic applications.