Receive 30% off all Monoclonal IHC antibodies with code "MONO-IHC-30"! Offer valid for US customers and available internationally through distributors.

Human NF-M Ready-To-Use IHC Kit

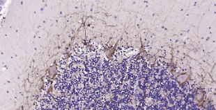
Immunohistochemical analysis of paraffin embedded human brain tissue slide using IHC0218H (Human NF-M IHC Kit).
Immunohistochemical analysis of paraffin embedded human cerebellum tissue slide using IHC0218H (Human NF-M IHC Kit).

Human NF-M Ready-To-Use IHC Kit

Cat. No.: IHC0218H
Sample Type:
FFPE tissue
Size:
50T (including a control slide)
Storage and Stability:
Please store components at the temperatures indicated on the individual tube labels. The kit is stable for 6 months from the date of receipt.

Background

Neurofilaments (NFs) are a type of intermediate filament (IF) expressed almost exclusively in neuronal cells, and in those cells most prominently in large axons. NFs, in most vertebrates, are composed of three different polypeptide chains with different molecular weights - neurofilament medium protein (NF-M), high (NF-H) and light protein (NF-L), which share sequence and structural similarity in a coiled-coil core domain, but differ in the length and sequence of their N-termini and more dramatically of their C-termini which in the case of NF-M and NF-H form the flexible extensions that link NFs to each other and to other elements in the cytoplasm. NF-M protein tail-mediated interactions of neurofilaments are critical for size and cytoskeletal architecture of axons, and are mediated, in part, by the highly phosphorylated tail domain of this protein. NF-M phosphorylation and O-GlcNAcylation are regulated reciprocally and affect its translocation and filament formation and function. Antibodies to the various neurofilament subunits are very useful cell type markers since the proteins are among the most abundant of the nervous system, are expressed only in neurons and are biochemically very stable.

Synonyms

NEF3; NEFM; NF-M; NF160; NF165; NFM; 160 kDa neurofilament protein; neurofilament; Neurofilament 3; NF, NF M.

Materials Supplied

Number Component 50T Concentration Storage
1 PBS Buffer (powder) 2L x 2 20x RT
2 Antigen Retrieval Buffer 20ml 100x 2-8°C
3 Endogenous Peroxidase Blocking Buffer 3ml RTU 2-8°C
4 Blocking Buffer 3ml RTU 2-8°C
5 Primary Antibody (Human NEFM Recombinant Rabbit mAb) 6ml RTU 2-8°C
6 Secondary Antibody (Goat Anti-Rabbit IgG H&L / HRP) 6ml RTU 2-8°C
7 Chromogen Component A 0.3ml RTU -20°C
8 Chromogen Component B 0.3ml RTU -20°C
9 Counter Staining Reagent 5ml RTU RT
10 Differentiation Reagent 6ml RTU RT
11 Mounting Media 5ml RTU RT
12 Control slide (Human cerebellum) 1 slide RTU RT
13 Datasheet 1 copy

Notes

  1. The positive control slide provided in the kit allows you to be sure that the experimental set-up is working properly.
  2. Do not allow slides to dry at any time during this procedure.
  3. Please don't replace the matching reagents in this product with other manufacturers' products.
  4. As DAB is a carcinogen, please take necessary precautions.
  5. PBS (reagent 1) can be stored for one week at 4℃ after preparation; The antigen retrieval buffer (1×reagent 2) and the chromogenic agent (the mixture of reagents 7 and 8) should be prepared right before each assay.


As DAB is a carcinogen, please take necessary precautions.

Important Note: This product as supplied is intended for research use only, not for use in human, therapeutic or diagnostic applications.