Receive 30% off all Monoclonal IHC antibodies with code "MONO-IHC-30"! Offer valid for US customers and available internationally through distributors.

Human STAT1 Ready-To-Use IHC Kit

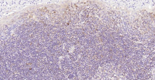
Immunohistochemical analysis of paraffin embedded human tonsil tissue slide using IHC0222H (Human STAT1 IHC Kit).
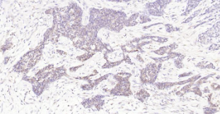
Immunohistochemical analysis of paraffin embedded human colon cancer tissue slide using IHC0222H (Human STAT1 IHC Kit).
Immunohistochemical analysis of paraffin embedded human spleen tissue slide using IHC0222H (Human STAT1 IHC Kit).
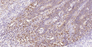
Immunohistochemical analysis of paraffin embedded human breast cancer tissue slide using IHC0222H (Human STAT1 IHC Kit).
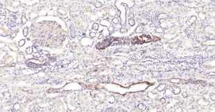
Immunohistochemical analysis of paraffin embedded human kidney tissue slide using IHC0222H (Human STAT1 IHC Kit).

Human STAT1 Ready-To-Use IHC Kit

Cat. No.: IHC0222H
Sample Type:
FFPE tissue
Size:
50T (including a control slide)
Storage and Stability:
Please store components at the temperatures indicated on the individual tube labels. The kit is stable for 6 months from the date of receipt.

Background

STAT1 (signal transducers and activators of transcription 1) is a member of the STAT family of transcription factors. STAT1 can be activated by interferon-alpha, interferon-gamma, EGF, PDGF and IL6. STAT1 is known to regulate several genes which are involved in cell growth, apoptosis, immune responses, and lipid metabolism. Further, STAT1 plays an important role in mediating cell viability in response to different cell stimuli and pathogen exposure. The STAT1 gene is located on chromosome 2. STAT1 is activated to regulate gene expression in response to extracellular signaling polypeptides including cytokines, interferons, and growth factors. After phosphorylation by JAK tyrosine kinases, STAT1 enters the nucleus to regulate transcription of many different genes. Among the seven STATs types, STAT1, STAT3, STAT5a, and STAT5b have a wide activation profile. STAT1 is activated by many different ligands including IFN family (IFN-Alpha, IFN-Beta, IFN-gamma and IL-10), gp130 family (IL-6, IL-11, LIF, CNTF, and G-CSF), and receptor tyrosine kinases (EGF, PDGF, and CSF-1). Two alternatively spliced transcript variants encoding distinct isoforms of STAT1 have been described.

Synonyms

2010005J02Rik; AA408197; CANDF7; DD6G4-4; IMD31A; IMD31B; IMD31C; ISGF-3; STAT1; STAT91; signal transducer and activator of transcription 1.

Materials Supplied

Number Component 50T Concentration Storage
1 PBS Buffer (powder) 2L x 2 20x RT
2 Antigen Retrieval Buffer 20ml 100x 2-8°C
3 Endogenous Peroxidase Blocking Buffer 3ml RTU 2-8°C
4 Blocking Buffer 3ml RTU 2-8°C
5 Primary Antibody (Human STAT1 Recombinant Rabbit mAb) 6ml RTU 2-8°C
6 Secondary Antibody (Goat Anti-Rabbit IgG H&L / HRP) 6ml RTU 2-8°C
7 Chromogen Component A 0.3ml RTU -20°C
8 Chromogen Component B 0.3ml RTU -20°C
9 Counter Staining Reagent 5ml RTU RT
10 Differentiation Reagent 6ml RTU RT
11 Mounting Media 5ml RTU RT
12 Control slide (Human colon cancer) 1 slide RTU RT
13 Datasheet 1 copy

Notes

  1. The positive control slide provided in the kit allows you to be sure that the experimental set-up is working properly.
  2. Do not allow slides to dry at any time during this procedure.
  3. Please don't replace the matching reagents in this product with other manufacturers' products.
  4. As DAB is a carcinogen, please take necessary precautions.
  5. PBS (reagent 1) can be stored for one week at 4℃ after preparation; The antigen retrieval buffer (1×reagent 2) and the chromogenic agent (the mixture of reagents 7 and 8) should be prepared right before each assay.


As DAB is a carcinogen, please take necessary precautions.

Important Note: This product as supplied is intended for research use only, not for use in human, therapeutic or diagnostic applications.