Receive 30% off all Monoclonal IHC antibodies with code "MONO-IHC-30"! Offer valid for US customers and available internationally through distributors.

Human Integrin beta 1 Ready-To-Use IHC Kit

Immunohistochemical analysis of paraffin embedded human hepatocellular carcinoma tissue slide using IHC0241H (Human Integrin beta 1 IHC Kit).
Immunohistochemical analysis of paraffin embedded human colon tissue slide using IHC0241H (Human Integrin beta 1 IHC Kit).
Immunohistochemical analysis of paraffin embedded human colon cancer tissue slide using IHC0241H (Human Integrin beta 1 IHC Kit).
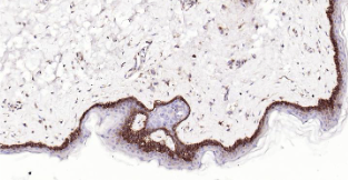
Immunohistochemical analysis of paraffin embedded human skin tissue slide using IHC0241H (Human Integrin beta 1 IHC Kit).
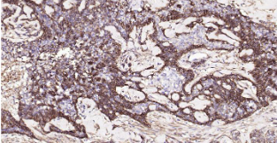
Immunohistochemical analysis of paraffin embedded human breast cancer tissue slide using IHC0241H (Human Integrin beta 1 IHC Kit).
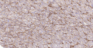
Immunohistochemical analysis of paraffin embedded human stomach tissue slide using IHC0241H (Human Integrin beta 1 IHC Kit).

Human Integrin beta 1 Ready-To-Use IHC Kit

Cat. No.: IHC0241H
Sample Type:
FFPE tissue
Size:
50T (including a control slide)
Storage and Stability:
Please store components at the temperatures indicated on the individual tube labels. The kit is stable for 6 months from the date of receipt.

Background

ITGB1 (Integrin Subunit Beta 1, beta1 integrin subunit, GPIIa, CD29) is a 110 kDa cell surface glycoprotein that is widely expressed by a variety of cells including all leucocytes. ITGB1 forms non-covalently linked heterodimers with at least 6 different alpha chains (alpha1-alpha6, CDa-f) determining the binding properties of beta1 (VLA) integrins. ITGB1 is a cell adhesion molecule appearing on platelets, as the common Beta subunit of the very late activation antigen (VLA), and as a component of various protein complexes binding to extracellular matrix proteins. Decreased expression of ITGB1 correlates with acquiring multidrug resistance of tumor cells in the presence of anti-tumor drug. ITGB1 is up-regulated in leukocytes during emigration and extravascular migration and appear to be critically involved in regulating the immune cell trafficking from blood to tissue. Further, ITGB1 also regulates tissue damage and disease symptoms related to inflammatory bowel disease. Through an ITGB1-dependent mechanism, fibronectin and type I collagen enhance cytokine secretion of human airway smooth muscle in response to IL-1beta. More than 8 beta subunits with numerous splice variant isoforms have been identified in mammals. There are two major forms of integrin beta1: beta1A and beta1D, which differ in 13 amino acids. The distribution pattern in adult tissues for integrin beta types are mutually exclusive. Beta1A is present in all tissues, except cardiac and skeletal muscle which express the beta1D variant.

Synonyms

Materials Supplied

Number Component 50T Concentration Storage
1 PBS Buffer (powder) 2L x 2 20x RT
2 Antigen Retrieval Buffer 20ml 100x 2-8°C
3 Endogenous Peroxidase Blocking Buffer 3ml RTU 2-8°C
4 Blocking Buffer 3ml RTU 2-8°C
5 Primary Antibody (Human Integrin beta 1 Rabbit pAb) 6ml RTU 2-8°C
6 Secondary Antibody (Goat Anti-Rabbit IgG H&L / HRP) 6ml RTU 2-8°C
7 Chromogen Component A 0.3ml RTU -20°C
8 Chromogen Component B 0.3ml RTU -20°C
9 Counter Staining Reagent 5ml RTU RT
10 Differentiation Reagent 6ml RTU RT
11 Mounting Media 5ml RTU RT
12 Control slide (human abdominal skin) 1 slide RTU RT
13 Datasheet 1 copy

Notes

  1. The positive control slide provided in the kit allows you to be sure that the experimental set-up is working properly.
  2. Do not allow slides to dry at any time during this procedure.
  3. Please don't replace the matching reagents in this product with other manufacturers' products.
  4. As DAB is a carcinogen, please take necessary precautions.
  5. PBS (reagent 1) can be stored for one week at 4℃ after preparation; The antigen retrieval buffer (1×reagent 2) and the chromogenic agent (the mixture of reagents 7 and 8) should be prepared right before each assay.


As DAB is a carcinogen, please take necessary precautions.

Important Note: This product as supplied is intended for research use only, not for use in human, therapeutic or diagnostic applications.