Receive 30% off all Monoclonal IHC antibodies with code "MONO-IHC-30"! Offer valid for US customers and available internationally through distributors.

Human Beta tubulin Ready-To-Use IHC Kit

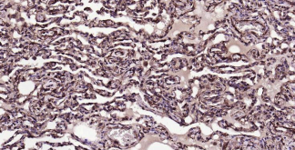
Immunohistochemical analysis of paraffin embedded human lung cancer tissue slide using IHC0307H (Human Beta tubulin Kit).
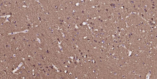
Immunohistochemical analysis of paraffin embedded human brain tissue slide using IHC0307H (Human Beta tubulin Kit).
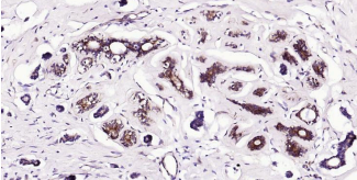
Immunohistochemical analysis of paraffin embedded human breast cancer tissue slide using IHC0307H (Human Beta tubulin Kit).
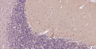
Immunohistochemical analysis of paraffin embedded human cerebellum tissue slide using IHC0307H (Human Beta tubulin Kit).

Human Beta tubulin Ready-To-Use IHC Kit

Cat. No.: IHC0307H
Sample Type:
FFPE tissue
Size:
50T (including a control slide)
Storage and Stability:
Please store components at the temperatures indicated on the individual tube labels. The kit is stable for 6 months from the date of receipt.

Background

Beta tubulins are one of two core protein families (alpha and beta tubulins) that heterodimerize and assemble to form microtubules. Beta-III tubulin is primarily expressed in neurons and may be involved in neurogenesis, axon guidance and maintenance. Mutations in the beta tubulin gene are the cause of congenital fibrosis of the extraocular muscles type 3. Beta-III tubulin was also detected in Sertoli cells of the testis and transiently in non-neuronal embryonic tissues. Glutamate residues at the C-terminus of beta III tubulin can be glutamylated. The precise function of such modifications is unclear. Tubulin is phosphorylated on Ser-172 by CDK1 during cell cycle progression. Ser-172 phosphorylation inhibits tubulin incorporation into microtubules.Microtubules, the major cytoskeletal elements found in all eukaryotic cells, consist of Tubulin, which is a dimer of two 55 kDa subunits: alpha and Beta. Microtubules play key roles in chromosome segregation in mitosis, intracellular transport, ciliary and flagellar bending, and structural support of the cytoskeleton. Because beta-tubulin is ubiquitously expressed in all eukaryotic cells, it is frequently used as a loading control for assays involving protein detection, such as Western blotting.

Synonyms

Materials Supplied

Number Component 50T Concentration Storage
1 PBS Buffer (powder) 2L x 2 20x RT
2 Antigen Retrieval Buffer 20ml 100x 2-8°C
3 Endogenous Peroxidase Blocking Buffer 3ml RTU 2-8°C
4 Blocking Buffer 3ml RTU 2-8°C
5 Primary Antibody (Human Beta tubulin Recombinant Rabbit mAb) 6ml RTU 2-8°C
6 Secondary Antibody (Goat Anti-Rabbit IgG H&L, HRP conjugated) 6ml RTU 2-8°C
7 Chromogen Component A 0.3ml RTU -20°C
8 Chromogen Component B 0.3ml RTU -20°C
9 Counter Staining Reagent 5ml RTU RT
10 Differentiation Reagent 6ml RTU RT
11 Mounting Media 5ml RTU RT
12 Control slide (Human brain) 1 slide RTU RT
13 Datasheet 1 copy

Notes

  1. The positive control slide provided in the kit allows you to be sure that the experimental set-up is working properly.
  2. Do not allow slides to dry at any time during this procedure.
  3. Please don't replace the matching reagents in this product with other manufacturers' products.
  4. As DAB is a carcinogen, please take necessary precautions.
  5. PBS (reagent 1) can be stored for one week at 4℃ after preparation; The antigen retrieval buffer (1×reagent 2) and the chromogenic agent (the mixture of reagents 7 and 8) should be prepared right before each assay.


As DAB is a carcinogen, please take necessary precautions.

Important Note: This product as supplied is intended for research use only, not for use in human, therapeutic or diagnostic applications.