Receive 30% off all Monoclonal IHC antibodies with code "MONO-IHC-30"! Offer valid for US customers and available internationally through distributors.

Human MMP9 Ready-To-Use IHC Kit

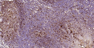
Immunohistochemical analysis of paraffin embedded human tonsil tissue slide using IHC0311H (Human MMP9 Kit).
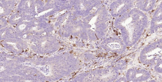
Immunohistochemical analysis of paraffin embedded human colon cancer tissue slide using IHC0311H (Human MMP9 Kit).

Human MMP9 Ready-To-Use IHC Kit

Cat. No.: IHC0311H
Sample Type:
FFPE tissue
Size:
50T (including a control slide)
Storage and Stability:
Please store components at the temperatures indicated on the individual tube labels. The kit is stable for 6 months from the date of receipt.

Background

MMP9 (matrix metallopeptidase 9, GELB, CLG4B) is a matrix metalloproteinase, a family of zinc and calcium-dependent endopeptidases that degrade extracellular matrix proteins. MMP9 is secreted as a 92kDa zymogen and cleavage of pro-MMP9 results in the active enzyme with a molecular weight of 82kDa. MMP9 has a gelatin-binding domain consisting of three fibronectin type II units, a catalytic domain containing the zinc-binding site, a proline-rich type V collagen-homologous domain and a hemopexin-like domain. MMP9 is produced by monocytes, macrophages, neutrophils, keratinocytes, fibroblasts, osteoclasts and endothelial cells, and is involved in inflammatory responses, tissue remodeling, wound healing, tumor growth and metastasis. MMP9 is supplied by bone marrow-derived cells and contributes to skin carcinogenesis. Further, MMP9 degrades type IV and V collagens. Studies in rhesus monkeys suggest that the enzyme is involved in IL-8-induced mobilization of hematopoietic progenitor cells from bone marrow, and murine studies suggest a role in tumor-associated tissue remodeling. Studies have shown that elevated MMP9 is associated with progression of idiopathic atrial fibrillation and aortic aneurysm.

Synonyms

Materials Supplied

Number Component 50T Concentration Storage
1 PBS Buffer (powder) 2L x 2 20x RT
2 Antigen Retrieval Buffer 20ml 100x 2-8°C
3 Endogenous Peroxidase Blocking Buffer 3ml RTU 2-8°C
4 Blocking Buffer 3ml RTU 2-8°C
5 Primary Antibody (Human MMP9 Recombinant Rabbit mAb) 6ml RTU 2-8°C
6 Secondary Antibody (Goat Anti-Rabbit IgG H&L, HRP conjugated) 6ml RTU 2-8°C
7 Chromogen Component A 0.3ml RTU -20°C
8 Chromogen Component B 0.3ml RTU -20°C
9 Counter Staining Reagent 5ml RTU RT
10 Differentiation Reagent 6ml RTU RT
11 Mounting Media 5ml RTU RT
12 Control slide (Human lung cancer) 1 slide RTU RT
13 Datasheet 1 copy

Notes

  1. The positive control slide provided in the kit allows you to be sure that the experimental set-up is working properly.
  2. Do not allow slides to dry at any time during this procedure.
  3. Please don't replace the matching reagents in this product with other manufacturers' products.
  4. As DAB is a carcinogen, please take necessary precautions.
  5. PBS (reagent 1) can be stored for one week at 4℃ after preparation; The antigen retrieval buffer (1×reagent 2) and the chromogenic agent (the mixture of reagents 7 and 8) should be prepared right before each assay.


As DAB is a carcinogen, please take necessary precautions.

Important Note: This product as supplied is intended for research use only, not for use in human, therapeutic or diagnostic applications.