Receive 30% off all Monoclonal IHC antibodies with code "MONO-IHC-30"! Offer valid for US customers and available internationally through distributors.

Human HSP60 Ready-To-Use IHC Kit

https://cdn.shopify.com/s/files/1/1223/3460/files/IHC0317H_6.png?v=1736952106
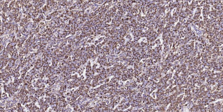
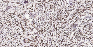
Immunohistochemical analysis of paraffin embedded human lung cancer tissue slide using IHC0317H (Human HSP60 Kit).
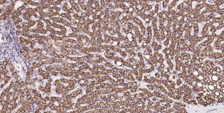
Immunohistochemical analysis of paraffin embedded human liver tissue slide using IHC0317H (Human HSP60 Kit).
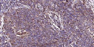
Immunohistochemical analysis of paraffin embedded human cervical cancer tissue slide using IHC0317H (Human HSP60 Kit).
Immunohistochemical analysis of paraffin embedded human ovarian cancer tissue slide using IHC0317H (Human HSP60 Kit).
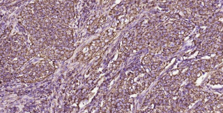
Immunohistochemical analysis of paraffin embedded human breast cancer tissue slide using IHC0317H (Human HSP60 Kit).

Human HSP60 Ready-To-Use IHC Kit

Cat. No.: IHC0317H
Sample Type:
FFPE tissue
Size:
50T (including a control slide)
Storage and Stability:
Please store components at the temperatures indicated on the individual tube labels. The kit is stable for 6 months from the date of receipt.

Background

This gene encodes a member of the chaperonin family. The encoded mitochondrial protein may function as a signaling molecule in the innate immune system. This protein is essential for the folding and assembly of newly imported proteins in the mitochondria. This gene is adjacent to a related family member and the region between the 2 genes functions as a bidirectional promoter. Several pseudogenes have been associated with this gene. Two transcript variants encoding the same protein have been identified for this gene. Mutations associated with this gene cause autosomal recessive spastic paraplegia 13.

Synonyms

60kDa, CPN60, GROEL, HLD4, HSP-60, HSP60, HSP65, HSPD1, Hspd1-30p, HuCHA60, SPG13.Validation Data

Materials Supplied

Number Component 50T Concentration Storage
1 PBS Buffer (powder) 2L x 2 20x RT
2 Antigen Retrieval Buffer 20ml 100x 2-8°C
3 Endogenous Peroxidase Blocking Buffer 3ml RTU 2-8°C
4 Blocking Buffer 3ml RTU 2-8°C
5 Primary Antibody (Human HSP60 Recombinant Rabbit mAb) 6ml RTU 2-8°C
6 Secondary Antibody (Goat Anti-Rabbit IgG H&L, HRP conjugated) 6ml RTU 2-8°C
7 Chromogen Component A 0.3ml RTU -20°C
8 Chromogen Component B 0.3ml RTU -20°C
9 Counter Staining Reagent 5ml RTU RT
10 Differentiation Reagent 6ml RTU RT
11 Mounting Media 5ml RTU RT
12 Control slide (Human liver) 1 slide RTU RT
13 Datasheet 1 copy

Notes

  1. The positive control slide provided in the kit allows you to be sure that the experimental set-up is working properly.
  2. Do not allow slides to dry at any time during this procedure.
  3. Please don't replace the matching reagents in this product with other manufacturers' products.
  4. As DAB is a carcinogen, please take necessary precautions.
  5. PBS (reagent 1) can be stored for one week at 4℃ after preparation; The antigen retrieval buffer (1×reagent 2) and the chromogenic agent (the mixture of reagents 7 and 8) should be prepared right before each assay.


As DAB is a carcinogen, please take necessary precautions.

Important Note: This product as supplied is intended for research use only, not for use in human, therapeutic or diagnostic applications.