Receive 30% off all Monoclonal IHC antibodies with code "MONO-IHC-30"! Offer valid for US customers and available internationally through distributors.

Mouse PARP Ready-To-Use IHC Kit

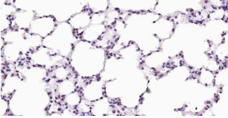
Immunohistochemical analysis of paraffin embedded mouse lung tissue slide using IHC0319M (Mouse PARP Kit).

Mouse PARP Ready-To-Use IHC Kit

Cat. No.: IHC0319M
Sample Type:
FFPE tissue
Size:
50T (including a control slide)
Storage and Stability:
Please store components at the temperatures indicated on the individual tube labels. The kit is stable for 6 months from the date of receipt.

Background

Poly ADP-Ribose Polymerase (PARP) uses nicotinamide adenine dinucleotide (oxidized form) NAD as a substrate to catalyse the transfer of ADP-ribose to a variety of nuclear protein acceptors. Proteolysis of PARP to its stable 85kDa fragment is an early marker of programmed cell death (apoptosis) and is mediated by the caspase CPP32 protein. Cleavage occurs between Adp216 and Gly217, a site in PARP conserved across species.

Synonyms

5830444G22Rik, Adprp, ADPRT, ADPRT 1, ADPRT1, AI893648, ARTD1, C80510, pADPRT-1, PARP, PARP-1, PARP1, PPOL, sPARP-1, poly(ADP-ribose) polymerase 1.Validation Data

Materials Supplied

Number Component 50T Concentration Storage
1 PBS Buffer (powder) 2L x 2 20x RT
2 Antigen Retrieval Buffer 20ml 100x 2-8°C
3 Endogenous Peroxidase Blocking Buffer 3ml RTU 2-8°C
4 Blocking Buffer 3ml RTU 2-8°C
5 Primary Antibody (Mouse PARP Recombinant Rabbit mAb) 6ml RTU 2-8°C
6 Secondary Antibody (Goat Anti-Rabbit IgG H&L, HRP conjugated) 6ml RTU 2-8°C
7 Chromogen Component A 0.3ml RTU -20°C
8 Chromogen Component B 0.3ml RTU -20°C
9 Counter Staining Reagent 5ml RTU RT
10 Differentiation Reagent 6ml RTU RT
11 Mounting Media 5ml RTU RT
12 Control slide (Mouse testis) 1 slide RTU RT
13 Datasheet 1 copy

Notes

  1. The positive control slide provided in the kit allows you to be sure that the experimental set-up is working properly.
  2. Do not allow slides to dry at any time during this procedure.
  3. Please don't replace the matching reagents in this product with other manufacturers' products.
  4. As DAB is a carcinogen, please take necessary precautions.
  5. PBS (reagent 1) can be stored for one week at 4℃ after preparation; The antigen retrieval buffer (1×reagent 2) and the chromogenic agent (the mixture of reagents 7 and 8) should be prepared right before each assay.


As DAB is a carcinogen, please take necessary precautions.

Important Note: This product as supplied is intended for research use only, not for use in human, therapeutic or diagnostic applications.