Receive 30% off all Monoclonal IHC antibodies with code "MONO-IHC-30"! Offer valid for US customers and available internationally through distributors.

Mouse Cyclin D1 Ready-To-Use IHC Kit

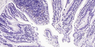
Immunohistochemical analysis of paraffin embedded mouse small intestine tissue slide using IHC0325M (Mouse Cyclin D1 Kit).

Mouse Cyclin D1 Ready-To-Use IHC Kit

Cat. No.: IHC0325M
Sample Type:
FFPE tissue
Size:
50T (including a control slide)
Storage and Stability:
Please store components at the temperatures indicated on the individual tube labels. The kit is stable for 6 months from the date of receipt.

Background

Cyclin D1 (PRAD-1, bcl-1) is one of the key cell cycle regulators, and functions in association with cdk4 and/or cdk6 by phosphorylating the Rb protein. Cyclin D1 is a putative proto-oncogene overexpressed in a wide variety of human neoplasms including mantle cell lymphomas (MCL). In addition, cyclin D1 positively regulates protein phosphorylation, mammary gland epithelial cell proliferation, and fat cell differentiation. In humans, the CCND1 gene encoding cyclin D1 is present on chromosome 11. Cyclin D1 is a cytoplasmic and nuclear protein that is synthesized during G1 phase and assembles with either cyclin-dependent kinase 4 (CDK4) or CDK6 in response to growth factor stimulation. D-type cyclin-CDK complexes act to inactivate the growth-suppressive function of the Rb protein through its phosphorylation, and titrate CDK inhibitors such as p21Cip1 and p27Kip1. Without growth factor-mediated stimulation, Cyclin D1 is unstable, and undergoes ubiquitin-mediated degradation, which is triggered by its phosphorylation. Cyclin D1 destabilization participates in G1/S phase arrest. The Cyclin D1 protein belongs to the highly conserved cyclin family, whose members are characterized by a dramatic periodicity in protein abundance throughout the cell cycle. Cyclins function as regulators of CDK kinases. Different cyclins exhibit distinct expression and degradation patterns which contribute to the temporal coordination of each mitotic event. Cyclin D1 forms a complex with and functions as a regulatory subunit of CDK4 or CDK6, whose activity is required for cell cycle G1/S transition. The Cyclin D1 protein has been shown to interact with tumor suppressor protein Rb and the expression of this gene is regulated positively by Rb. Mutations, amplification and overexpression of this gene, which alters cell cycle progression, are observed frequently in a variety of tumors and may contribute to tumorigenesis. Cyclin D1 has been successfully employed and is a promising tool for further studies in both cell cycle biology and cancer associated abnormalities.

Synonyms

AI327039, bcl-1, BCL1, CCND1, cD1, CycD1, Cyl-1, D11S287E, PRAD1, U21B31.

Materials Supplied

Number Component 50T Concentration Storage
1 PBS Buffer (powder) 2L x 2 20x RT
2 Antigen Retrieval Buffer 20ml 100x 2-8°C
3 Endogenous Peroxidase Blocking Buffer 3ml RTU 2-8°C
4 Blocking Buffer 3ml RTU 2-8°C
5 Primary Antibody (Mouse Cyclin D1 Recombinant Rabbit mAb) 6ml RTU 2-8°C
6 Secondary Antibody (Goat Anti-Rabbit IgG H&L, HRP conjugated) 6ml RTU 2-8°C
7 Chromogen Component A 0.3ml RTU -20°C
8 Chromogen Component B 0.3ml RTU -20°C
9 Counter Staining Reagent 5ml RTU RT
10 Differentiation Reagent 6ml RTU RT
11 Mounting Media 5ml RTU RT
12 Control slide (Mouse small intestine) 1 slide RTU RT
13 Datasheet 1 copy

Notes

  1. The positive control slide provided in the kit allows you to be sure that the experimental set-up is working properly.
  2. Do not allow slides to dry at any time during this procedure.
  3. Please don't replace the matching reagents in this product with other manufacturers' products.
  4. As DAB is a carcinogen, please take necessary precautions.
  5. PBS (reagent 1) can be stored for one week at 4℃ after preparation; The antigen retrieval buffer (1×reagent 2) and the chromogenic agent (the mixture of reagents 7 and 8) should be prepared right before each assay.


As DAB is a carcinogen, please take necessary precautions.

Important Note: This product as supplied is intended for research use only, not for use in human, therapeutic or diagnostic applications.