Receive 30% off all Monoclonal IHC antibodies with code "MONO-IHC-30"! Offer valid for US customers and available internationally through distributors.

Mouse CD36 Ready-To-Use IHC Kit

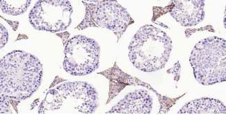
Immunohistochemical analysis of paraffin embedded mouse testis tissue slide using IHC0331M (Mouse CD36 Kit).
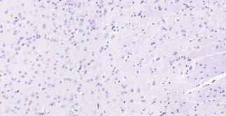
Immunohistochemical analysis of paraffin embedded mouse brain tissue slide using IHC0331M (Mouse CD36 Kit).
Immunohistochemical analysis of paraffin embedded mouse spleen tissue slide using IHC0331M (Mouse CD36 Kit).
Immunohistochemical analysis of paraffin embedded mouse heart tissue slide using IHC0331M (Mouse CD36 Kit).

Mouse CD36 Ready-To-Use IHC Kit

Cat. No.: IHC0331M
Sample Type:
FFPE tissue
Size:
50T (including a control slide)
Storage and Stability:
Please store components at the temperatures indicated on the individual tube labels. The kit is stable for 6 months from the date of receipt.

Background

CD36, also known as scavenger receptor class B member 3, is a protein that is expressed on the surface of various cell types, including macrophages, platelets, and adipocytes. It plays a role in lipid metabolism, inflammation, and atherosclerosis, and is involved in the recognition and uptake of various ligands such as oxidized low-density lipoproteins, long-chain fatty acids, and apoptotic cells. CD36 is also implicated in the pathogenesis of malaria. The protein encoded by this gene serves as a receptor for thrombospondin in platelets and various cell lines, and is the fourth major glycoprotein of the platelet surface. It binds to collagen, thrombospondin, anionic phospholipids, and oxidized LDL, and directly mediates cytoadherence of Plasmodium falciparum parasitized erythrocytes. Mutations in this gene cause platelet glycoprotein deficiency. Multiple alternatively spliced transcript variants have been found for this gene. Diseases associated with CD36 include Platelet Glycoprotein IV Deficiency and Coronary Heart Disease 7.

Synonyms

BDPLT10, CD36, CHDS7, FAT, GP3B, GP4, GPIIIB, GPIV, PAS-4, PAS4, PASIV, SCARB3.Validation Data

Materials Supplied

Number Component 50T Concentration Storage
1 PBS Buffer (powder) 2L x 2 20x RT
2 Antigen Retrieval Buffer 20ml 100x 2-8°C
3 Endogenous Peroxidase Blocking Buffer 3ml RTU 2-8°C
4 Blocking Buffer 3ml RTU 2-8°C
5 Primary Antibody (Mouse CD36 Rabbit pAb) 6ml RTU 2-8°C
6 Secondary Antibody (Goat Anti-Rabbit IgG H&L, HRP conjugated) 6ml RTU 2-8°C
7 Chromogen Component A 0.3ml RTU -20°C
8 Chromogen Component B 0.3ml RTU -20°C
9 Counter Staining Reagent 5ml RTU RT
10 Differentiation Reagent 6ml RTU RT
11 Mounting Media 5ml RTU RT
12 Control slide (Mouse heart) 1 slide RTU RT
13 Datasheet 1 copy

Notes

  1. The positive control slide provided in the kit allows you to be sure that the experimental set-up is working properly.
  2. Do not allow slides to dry at any time during this procedure.
  3. Please don't replace the matching reagents in this product with other manufacturers' products.
  4. As DAB is a carcinogen, please take necessary precautions.
  5. PBS (reagent 1) can be stored for one week at 4℃ after preparation; The antigen retrieval buffer (1×reagent 2) and the chromogenic agent (the mixture of reagents 7 and 8) should be prepared right before each assay.


As DAB is a carcinogen, please take necessary precautions.

Important Note: This product as supplied is intended for research use only, not for use in human, therapeutic or diagnostic applications.