Receive 30% off all Monoclonal IHC antibodies with code "MONO-IHC-30"! Offer valid for US customers and available internationally through distributors.

Human PKM2 Ready-To-Use IHC Kit

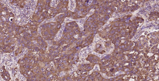
Immunohistochemical analysis of paraffin embedded human lung cancer tissue slide using IHC0346H (Human PKM2 Kit).
Immunohistochemical analysis of paraffin embedded human testis tissue slide using IHC0346H (Human PKM2 Kit).
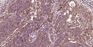
Immunohistochemical analysis of paraffin embedded human cervical cancer tissue slide using IHC0346H (Human PKM2 Kit).
Immunohistochemical analysis of paraffin embedded human brain tissue slide using IHC0346H (Human PKM2 Kit).
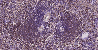
Immunohistochemical analysis of paraffin embedded human spleen tissue slide using IHC0346H (Human PKM2 Kit).

Human PKM2 Ready-To-Use IHC Kit

Cat. No.: IHC0346H
Sample Type:
FFPE tissue
Size:
50T (including a control slide)
Storage and Stability:
Please store components at the temperatures indicated on the individual tube labels. The kit is stable for 6 months from the date of receipt.

Background

PKM2 is a pyruvate kinase that catalyzes the production of phosphoenolpyruvate from pyruvate and ATP. PKM2 has been shown to interact with thyroid hormone, and thus may mediate cellular metabolic effects induced by thyroid hormones. PKM2 has been found to bind Opa protein, a bacterial outer membrane protein involved in gonococcal adherence to and invasion of human cells, suggesting a role of this protein in bacterial pathogenesis. Three alternatively spliced transcript variants encoding two distinct isoforms of PKM2 have been reported.

Synonyms

AA414905, AL024370, AL024424, HEL-S-30, Pk-2, Pk-3, PKM12, Pykm, CTHBP, OIP 3, OIP3, Opa interacting protein 3, p58, PK2, PK3, PKM, PKM1, PKM2, PKM2 pyruvate kinase, muscle, Pyruvate kinase 2/3, Pyruvate kinase muscle isozyme, TCB, THBP1, Tumor M2 PK.Validation Data

Materials Supplied

Number Component 50T Concentration Storage
1 PBS Buffer (powder) 2L x 2 20x RT
2 Antigen Retrieval Buffer 20ml 100x 2-8°C
3 Endogenous Peroxidase Blocking Buffer 3ml RTU 2-8°C
4 Blocking Buffer 3ml RTU 2-8°C
5 Primary Antibody (Human PKM2 Recombinant Rabbit mAb) 6ml RTU 2-8°C
6 Secondary Antibody (Goat Anti-Rabbit IgG H&L, HRP conjugated) 6ml RTU 2-8°C
7 Chromogen Component A 0.3ml RTU -20°C
8 Chromogen Component B 0.3ml RTU -20°C
9 Counter Staining Reagent 5ml RTU RT
10 Differentiation Reagent 6ml RTU RT
11 Mounting Media 5ml RTU RT
12 Control slide (Human cervical cancer) 1 slide RTU RT
13 Datasheet 1 copy

Notes

  1. The positive control slide provided in the kit allows you to be sure that the experimental set-up is working properly.
  2. Do not allow slides to dry at any time during this procedure.
  3. Please don't replace the matching reagents in this product with other manufacturers' products.
  4. As DAB is a carcinogen, please take necessary precautions.
  5. PBS (reagent 1) can be stored for one week at 4℃ after preparation; The antigen retrieval buffer (1×reagent 2) and the chromogenic agent (the mixture of reagents 7 and 8) should be prepared right before each assay.


As DAB is a carcinogen, please take necessary precautions.

Important Note: This product as supplied is intended for research use only, not for use in human, therapeutic or diagnostic applications.