Receive 30% off all Monoclonal IHC antibodies with code "MONO-IHC-30"! Offer valid for US customers and available internationally through distributors.

Human CD105 Ready-To-Use IHC Kit

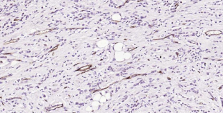
Immunohistochemical analysis of paraffin embedded human colon cancer tissue slide using IHC0354H (Human CD105 Kit).
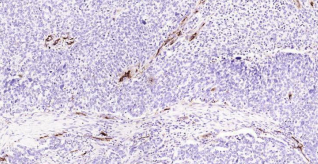
Immunohistochemical analysis of paraffin embedded human ovarian serous carcinoma tissue slide using IHC0354H (Human CD105 Kit).
Immunohistochemical analysis of paraffin embedded human breast cancer tissue slide using IHC0354H (Human CD105 Kit).
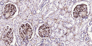
Immunohistochemical analysis of paraffin embedded human kidney tissue slide using IHC0354H (Human CD105 Kit).

Human CD105 Ready-To-Use IHC Kit

Cat. No.: IHC0354H
Sample Type:
FFPE tissue
Size:
50T (including a control slide)
Storage and Stability:
Please store components at the temperatures indicated on the individual tube labels. The kit is stable for 6 months from the date of receipt.

Background

CD105 or Endoglin is a Type I transmembrane protein, which is highly expressed on human vascular endothelial cells. It exists on an O- and N-glycosylated homodimer. Up regulation of endoglin expression has been demonstrated in tumor vasculature and proliferating cells, suggesting that it is a proliferation associated endothelial marker. CD105 binds to TGF beta 1 and 3 with high affinity but not to TGF beta 2.

Synonyms

END, Endoglin, ENG, FLJ41744, HHT1, ORW, ORW1, Osler Rendu Weber syndrome 1, RP11 228B15.2, CD 105, CD105 antigen, EGLN_HUMAN, AI528660, AI662476, S-endoglin, SN6.Validation Data

Materials Supplied

""
Number Component 50T Concentration Storage
1 PBS Buffer (powder) 2L x 2 20x RT
2 Antigen Retrieval Buffer 20ml 100x 2-8°C
3 Endogenous Peroxidase Blocking Buffer 3ml RTU 2-8°C
4 Blocking Buffer 3ml RTU 2-8°C
5 Primary Antibody (Human CD105 Mouse mAb) 6ml RTU 2-8°C
6Secondary Antibody (AffiniPure Goat Anti-Mouse IgG H&L, HRP conjugated)6ml RTU 2-8°C
7 Chromogen Component A 0.3ml RTU -20°C
8 Chromogen Component B 0.3ml RTU -20°C
9 Counter Staining Reagent 5ml RTU RT
10 Differentiation Reagent 6ml RTU RT
11 Mounting Media 5ml RTU RT
12 Control slide (Human colon cancer) 1 slide RTU RT
13 Datasheet 1 copy

Notes

  1. The positive control slide provided in the kit allows you to be sure that the experimental set-up is working properly.
  2. Do not allow slides to dry at any time during this procedure.
  3. Please don't replace the matching reagents in this product with other manufacturers' products.
  4. As DAB is a carcinogen, please take necessary precautions.
  5. PBS (reagent 1) can be stored for one week at 4℃ after preparation; The antigen retrieval buffer (1×reagent 2) and the chromogenic agent (the mixture of reagents 7 and 8) should be prepared right before each assay.


As DAB is a carcinogen, please take necessary precautions.

Important Note: This product as supplied is intended for research use only, not for use in human, therapeutic or diagnostic applications.