Receive 30% off all Monoclonal IHC antibodies with code "MONO-IHC-30"! Offer valid for US customers and available internationally through distributors.

Human HES5 Ready-To-Use IHC Kit

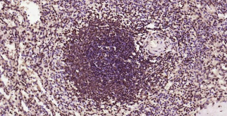
Immunohistochemical analysis of paraffin embedded human spleen tissue slide using IHC0368H (Human HES5 Kit).
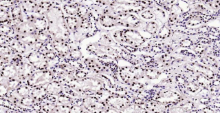
Immunohistochemical analysis of paraffin embedded human kidney tissue slide using IHC0368H (Human HES5 Kit).
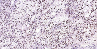
Immunohistochemical analysis of paraffin embedded human endometrial carcinoma tissue slide using IHC0368H (Human HES5 Kit).

Human HES5 Ready-To-Use IHC Kit

Cat. No.: IHC0368H
Sample Type:
FFPE tissue
Size:
50T (including a control slide)
Storage and Stability:
Please store components at the temperatures indicated on the individual tube labels. The kit is stable for 6 months from the date of receipt.

Background

Hairy and Enhancer-of-split homologues 5 (HES5) is a helix-loop-helix transcriptional factor that negatively regulates cell differentiation during embryogenesis. It contains one basic helix-loop-helix (bHLH) domain and one Orange domain. HES5 is reported to be a down stream effector of the Notch Signaling Pathway and is expressed in advanced ovarian serous adenocarcinomas as well as in cervical squamous carcinoma. Reports also suggest that HES5 is abundantly expressed in osteoarthritis along with Notch1 and Jagged1.

Synonyms

BHLHB38, Hes-5, HES5, Hairy and enhancer of split 5, HES 5, HES5 protein, MGI:104876.Validation Data

Materials Supplied

Number Component 50T Concentration Storage
1 PBS Buffer (powder) 2L x 2 20x RT
2 Antigen Retrieval Buffer 20ml 100x 2-8°C
3 Endogenous Peroxidase Blocking Buffer 3ml RTU 2-8°C
4 Blocking Buffer 3ml RTU 2-8°C
5 Primary Antibody (Human HES5 Recombinant Rabbit mAb) 6ml RTU 2-8°C
6 Secondary Antibody (Goat Anti-Rabbit IgG H&L, HRP conjugated) 6ml RTU 2-8°C
7 Chromogen Component A 0.3ml RTU -20°C
8 Chromogen Component B 0.3ml RTU -20°C
9 Counter Staining Reagent 5ml RTU RT
10 Differentiation Reagent 6ml RTU RT
11 Mounting Media 5ml RTU RT
12 Control slide (Human kidney) 1 slide RTU RT
13 Datasheet 1 copy

Notes

  1. The positive control slide provided in the kit allows you to be sure that the experimental set-up is working properly.
  2. Do not allow slides to dry at any time during this procedure.
  3. Please don't replace the matching reagents in this product with other manufacturers' products.
  4. As DAB is a carcinogen, please take necessary precautions.
  5. PBS (reagent 1) can be stored for one week at 4℃ after preparation; The antigen retrieval buffer (1×reagent 2) and the chromogenic agent (the mixture of reagents 7 and 8) should be prepared right before each assay.


As DAB is a carcinogen, please take necessary precautions.

Important Note: This product as supplied is intended for research use only, not for use in human, therapeutic or diagnostic applications.