Mouse MSI2 Ready-To-Use IHC Kit
Mouse MSI2 Ready-To-Use IHC Kit
Cat. No.: IHC0383MSample Type: FFPE tissue
Size: 50T (including a control slide)
Storage and Stability: Please store components at the temperatures indicated on the individual tube labels. The kit is stable for 6 months from the date of receipt.
Background
Msi2 (musashi homolog 2), also known as MSI2H, is a 328 amino acid protein that localizes to the cytoplasm and contains two RRM (RNA recognition motif) domains. Expressed ubiquitously at low levels, Msi2 functions as an RNA binding protein that, by regulating the expression of target mRNAs, is thought to play a role in the proliferation and maintenance of stem cells within the central nervous system. Msi2 is subject to posttranslational phosphorylation and is upregulated in response to brain injury, suggesting a role in healing and brain tissue regeneration. Chromosomal aberrations involving the Msi2 gene are associated with the progression of chronic myeloid leukemia. Multiple isoforms of Msi2 exist due to alternative splicing events.Tissue specificity: Ubiquitous; detected at low levels.
Synonyms
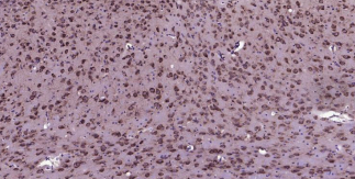
1700105C15Rik, AI451722, AI563628, AW489193, MSI2, MSI2H, RGD1560397.Validation Data
Materials Supplied
| Number | Component | 50T | Concentration | Storage |
|---|---|---|---|---|
| 1 | PBS Buffer (powder) | 2L x 2 | 20x | RT |
| 2 | Antigen Retrieval Buffer | 20ml | 100x | 2-8°C |
| 3 | Endogenous Peroxidase Blocking Buffer | 3ml | RTU | 2-8°C |
| 4 | Blocking Buffer | 3ml | RTU | 2-8°C |
| 5 | Primary Antibody (Mouse MSI2 Recombinant Rabbit mAb) | 6ml | RTU | 2-8°C |
| 6 | Secondary Antibody (Goat Anti-Rabbit IgG H&L, HRP conjugated) | 6ml | RTU | 2-8°C |
| 7 | Chromogen Component A | 0.3ml | RTU | -20°C |
| 8 | Chromogen Component B | 0.3ml | RTU | -20°C |
| 9 | Counter Staining Reagent | 5ml | RTU | RT |
| 10 | Differentiation Reagent | 6ml | RTU | RT |
| 11 | Mounting Media | 5ml | RTU | RT |
| 12 | Control slide (Mouse brain) | 1 slide | RTU | RT |
| 13 | Datasheet | 1 copy |
Notes
- The positive control slide provided in the kit allows you to be sure that the experimental set-up is working properly.
- Do not allow slides to dry at any time during this procedure.
- Please don't replace the matching reagents in this product with other manufacturers' products.
- As DAB is a carcinogen, please take necessary precautions.
- PBS (reagent 1) can be stored for one week at 4℃ after preparation; The antigen retrieval buffer (1×reagent 2) and the chromogenic agent (the mixture of reagents 7 and 8) should be prepared right before each assay.
As DAB is a carcinogen, please take necessary precautions.
Important Note: This product as supplied is intended for research use only, not for use in human, therapeutic or diagnostic applications.