Receive 30% off all Monoclonal IHC antibodies with code "MONO-IHC-30"! Offer valid for US customers and available internationally through distributors.

Human BLBP Ready-To-Use IHC Kit

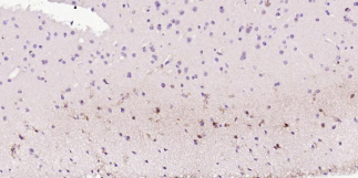
Immunohistochemical analysis of paraffin embedded human glioma tissue slide using IHC0386H (Human BLBP Kit).
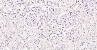
Immunohistochemical analysis of paraffin embedded human kidney tissue slide using IHC0386H (Human BLBP Kit).

Human BLBP Ready-To-Use IHC Kit

Cat. No.: IHC0386H
Sample Type:
FFPE tissue
Size:
50T (including a control slide)
Storage and Stability:
Please store components at the temperatures indicated on the individual tube labels. The kit is stable for 6 months from the date of receipt.

Background

FABP7 was initially isolated from a human fetal brain cDNA library and whose mRNA was expressed in adult brain and muscle tissues at low levels. The protein encoded by this gene is a member of the fatty acid binding protein (FABPs) family, a group of small, highly conserved, cytoplasmic proteins that bind long-chain fatty acids and other hydrophobic ligands. FABPs are thought to play roles in fatty acid uptake, transport, and metabolism. FABP7 is a downstream gene of the Pax6 transcription factor and has been suggested to be essential for the maintenance of neuroepithelial cells during early cortical development. More recently, FABP7 was found to be frequently expressed in melanomas. Down-regulation of FABP7 through RNAi expression could reduce in vitro cell proliferation and Matrigel invasion, suggesting that FABP7 may be a potential target for the development of diagnostic and therapeutic tools.

Synonyms

FABPB, MRG, B FABP, B-FABP, BFABP, BLBP, Brain lipid binding protein, Brain lipid-binding protein, Brain-type fatty acid-binding protein,DKFZp547J2313, FABP 7, FABP7.Validation Data

Materials Supplied

""
Number Component 50T Concentration Storage
1 PBS Buffer (powder) 2L x 2 20x RT
2 Antigen Retrieval Buffer 20ml 100x 2-8°C
3 Endogenous Peroxidase Blocking Buffer 3ml RTU 2-8°C
4 Blocking Buffer 3ml RTU 2-8°C
5 Primary Antibody (Human BLBP Recombinant Mouse mAb) 6ml RTU 2-8°C
6Secondary Antibody (AffiniPure Goat Anti-Mouse IgG H&L, HRP conjugated)6ml RTU 2-8°C
7 Chromogen Component A 0.3ml RTU -20°C
8 Chromogen Component B 0.3ml RTU -20°C
9 Counter Staining Reagent 5ml RTU RT
10 Differentiation Reagent 6ml RTU RT
11 Mounting Media 5ml RTU RT
12 Control slide (Human glioma) 1 slide RTU RT
13 Datasheet 1 copy

Notes

  1. The positive control slide provided in the kit allows you to be sure that the experimental set-up is working properly.
  2. Do not allow slides to dry at any time during this procedure.
  3. Please don't replace the matching reagents in this product with other manufacturers' products.
  4. As DAB is a carcinogen, please take necessary precautions.
  5. PBS (reagent 1) can be stored for one week at 4℃ after preparation; The antigen retrieval buffer (1×reagent 2) and the chromogenic agent (the mixture of reagents 7 and 8) should be prepared right before each assay.


As DAB is a carcinogen, please take necessary precautions.

Important Note: This product as supplied is intended for research use only, not for use in human, therapeutic or diagnostic applications.