Rat BLBP Ready-To-Use IHC Kit
Rat BLBP Ready-To-Use IHC Kit
Cat. No.: IHC0386RSample Type: FFPE tissue
Size: 50T (including a control slide)
Storage and Stability: Please store components at the temperatures indicated on the individual tube labels. The kit is stable for 6 months from the date of receipt.
Background
FABP7 was initially isolated from a human fetal brain cDNA library and whose mRNA was expressed in adult brain and muscle tissues at low levels. The protein encoded by this gene is a member of the fatty acid binding protein (FABPs) family, a group of small, highly conserved, cytoplasmic proteins that bind long-chain fatty acids and other hydrophobic ligands. FABPs are thought to play roles in fatty acid uptake, transport, and metabolism. FABP7 is a downstream gene of the Pax6 transcription factor and has been suggested to be essential for the maintenance of neuroepithelial cells during early cortical development. More recently, FABP7 was found to be frequently expressed in melanomas. Down-regulation of FABP7 through RNAi expression could reduce in vitro cell proliferation and Matrigel invasion, suggesting that FABP7 may be a potential target for the development of diagnostic and therapeutic tools.
Synonyms
FABPB, MRG, B FABP, B-FABP, BFABP, BLBP, Brain lipid binding protein, Brain lipid-binding protein, Brain-type fatty acid-binding protein,DKFZp547J2313, FABP 7, FABP7.Validation Data
Materials Supplied
| Number | Component | 50T | Concentration | Storage |
|---|---|---|---|---|
| 1 | PBS Buffer (powder) | 2L x 2 | 20x | RT |
| 2 | Antigen Retrieval Buffer | 20ml | 100x | 2-8°C |
| 3 | Endogenous Peroxidase Blocking Buffer | 3ml | RTU | 2-8°C |
| 4 | Blocking Buffer | 3ml | RTU | 2-8°C |
| 5 | Primary Antibody (Rat BLBP Recombinant Mouse mAb) | 6ml | RTU | 2-8°C |
| 6 | "Secondary Antibody (AffiniPure Goat Anti-Mouse IgG H&L, HRP conjugated) | "6ml | RTU | 2-8°C |
| 7 | Chromogen Component A | 0.3ml | RTU | -20°C |
| 8 | Chromogen Component B | 0.3ml | RTU | -20°C |
| 9 | Counter Staining Reagent | 5ml | RTU | RT |
| 10 | Differentiation Reagent | 6ml | RTU | RT |
| 11 | Mounting Media | 5ml | RTU | RT |
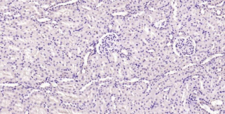
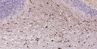
| 12 | Control slide (Rat brain) | 1 slide | RTU | RT |
| 13 | Datasheet | 1 copy |
Notes
- The positive control slide provided in the kit allows you to be sure that the experimental set-up is working properly.
- Do not allow slides to dry at any time during this procedure.
- Please don't replace the matching reagents in this product with other manufacturers' products.
- As DAB is a carcinogen, please take necessary precautions.
- PBS (reagent 1) can be stored for one week at 4℃ after preparation; The antigen retrieval buffer (1×reagent 2) and the chromogenic agent (the mixture of reagents 7 and 8) should be prepared right before each assay.
As DAB is a carcinogen, please take necessary precautions.
Important Note: This product as supplied is intended for research use only, not for use in human, therapeutic or diagnostic applications.