Receive 30% off all Monoclonal IHC antibodies with code "MONO-IHC-30"! Offer valid for US customers and available internationally through distributors.

Human LAMP2 Ready-To-Use IHC Kit

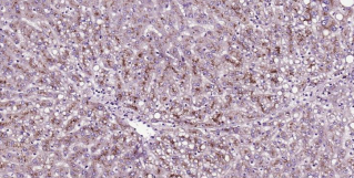
Immunohistochemical analysis of paraffin embedded human liver tissue slide using IHC0391H (Human LAMP2 Kit).
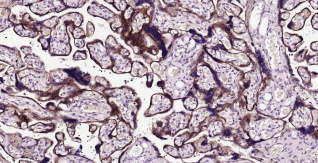
Immunohistochemical analysis of paraffin embedded human placenta tissue slide using IHC0391H (Human LAMP2 Kit).

Human LAMP2 Ready-To-Use IHC Kit

Cat. No.: IHC0391H
Sample Type:
FFPE tissue
Size:
50T (including a control slide)
Storage and Stability:
Please store components at the temperatures indicated on the individual tube labels. The kit is stable for 6 months from the date of receipt.

Background

LAMP2 (Lysosome-associated membrane glycoprotein 2, CD107b) is a member of a family of membrane glycoproteins. LAMP2 provides selectins with carbohydrate ligands, and may play a role in tumor cell metastasis, and have a function in the protection, maintenance, and adhesion of the lysosome. Prior to posttranslational modification, LAMP2 is approximately 46 kDa polypeptide. Mature, functional LAMP2 is extensively glycosylated with a variety of different N-linked and O-linked oligosaccharides with a total molecular weight of about 100-130 kDa. LAMP 2 has a structure comprised of a large amino-terminal intra-lysosomal domain, a hydrophobic trans-membrane domain, and a short carboxyl-terminal cytoplasmic tail. LAMP2 is used to monitor a very selective form of autophagy called chaperone-mediated autophagy. LAMP 2 has a structure comprised of a large amino-terminal intra-lysosomal domain, a hydrophobic trans-membrane domain, and a short carboxyl-terminal cytoplasmic tail. The LAMP protein has 3 variant forms: LAMP-2A, -2B, and 2C. LAMP2, together with CD107a/LAMP-1, is a major constituent of lysosomal membrane. The LAMP proteins are involved in lysosome biogenesis and are required for fusion of lysosomes with phagosomes, and LAMP2 is an important regulator in successful phagosomal maturation. LAMP2 deficiency causes an accumulation of autophagosomes in many tissues leading to cardiomyopathy and myopathy (Danon’s disease).

Synonyms

Materials Supplied

Number Component 50T Concentration Storage
1 PBS Buffer (powder) 2L x 2 20x RT
2 Antigen Retrieval Buffer 20ml 100x 2-8°C
3 Endogenous Peroxidase Blocking Buffer 3ml RTU 2-8°C
4 Blocking Buffer 3ml RTU 2-8°C
5 Primary Antibody (Human LAMP2 Recombinant Rabbit mAb) 6ml RTU 2-8°C
6 Secondary Antibody (Goat Anti-Rabbit IgG H&L, HRP conjugated) 6ml RTU 2-8°C
7 Chromogen Component A 0.3ml RTU -20°C
8 Chromogen Component B 0.3ml RTU -20°C
9 Counter Staining Reagent 5ml RTU RT
10 Differentiation Reagent 6ml RTU RT
11 Mounting Media 5ml RTU RT
12 Control slide (Human kidney) 1 slide RTU RT
13 Datasheet 1 copy

Notes

  1. The positive control slide provided in the kit allows you to be sure that the experimental set-up is working properly.
  2. Do not allow slides to dry at any time during this procedure.
  3. Please don't replace the matching reagents in this product with other manufacturers' products.
  4. As DAB is a carcinogen, please take necessary precautions.
  5. PBS (reagent 1) can be stored for one week at 4℃ after preparation; The antigen retrieval buffer (1×reagent 2) and the chromogenic agent (the mixture of reagents 7 and 8) should be prepared right before each assay.


As DAB is a carcinogen, please take necessary precautions.

Important Note: This product as supplied is intended for research use only, not for use in human, therapeutic or diagnostic applications.