Receive 30% off all Monoclonal IHC antibodies with code "MONO-IHC-30"! Offer valid for US customers and available internationally through distributors.

Human alpha Internexin Ready-To-Use IHC Kit

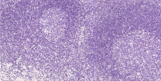
Immunohistochemical analysis of paraffin embedded human tonsil tissue slide using IHC0405H (Human alpha Internexin IHC Kit).
Immunohistochemical analysis of paraffin embedded human brain tissue slide using IHC0405H (Human alpha Internexin IHC Kit).

Human alpha Internexin Ready-To-Use IHC Kit

Cat. No.: IHC0405H
Sample Type:
FFPE tissue
Size:
50T (including a control slide)
Storage and Stability:
Please store components at the temperatures indicated on the individual tube labels. The kit is stable for 6 months from the date of receipt.

Background

alpha-Internexin is a Class IV intermediate filament subunit expressed very early in neuronal development. It is related to but distinct from the better known neurofilament triplet proteins, NF-L, NF-M and NF-H, having similar protein sequence motifs and a similar intron organization. Many classes of mature neurons contain a-internexin in addition to NF-L, NF-M and NF-H. In some mature neurons a-internexin is the only neurofilament subunit expressed. Antibodies to internexin are therefore unique probes to study and classify neuronal types and follow their processes in sections and in tissue culture. In addition the very early developmental expression of a-internexin means its presence is an early and convenient diagnostic feature of neuronal progenitors cells and other cell committed to the neuronal lineage. The use of antibodies to this protein in the study of brain tumors has not been examined to date, but is likely to be of interest.

Synonyms

AV028420; Inexa; Intlaa; TXBP-1; a-Internexin; Alpha-Internexin; Alpha-Internexin; 66 kDa neurofilament protein; Alpha Inx; INA; Internexin neuronal intermediate filament protein alpha; MGC12702; NEF 5; NEF5; Neurofilament 5 (66kD); Neurofilament 66; Neurofilament 66 tax binding protein; NF 66; NF66; NF-66; TXBP 1; TXBP1; AINX_HUMAN; Alpha-Inx; Neurofilament-66.Validation Data

Materials Supplied

"" ""
Number Component 50T Concentration Storage
1 PBS Buffer (powder) 2L x 2 20x RT
2 Antigen Retrieval Buffer 20ml 100x 2-8°C
3 Endogenous Peroxidase Blocking Buffer 3ml RTU 2-8°C
4 Blocking Buffer 3ml RTU 2-8°C
5Primary Antibody (Human alpha Internexin Recombinant Rabbit mAb)6ml RTU 2-8°C
6Secondary Antibody (Goat Anti-Rabbit IgG H&L, HRP conjugated)6ml RTU 2-8°C
7 Chromogen Component A 0.3ml RTU -20°C
8 Chromogen Component B 0.3ml RTU -20°C
9 Counter Staining Reagent 5ml RTU RT
10 Differentiation Reagent 6ml RTU RT
11 Mounting Media 5ml RTU RT
12 Control slide (human brain) 1 slide RTU RT
13 Datasheet 1 copy

Notes

  1. The positive control slide provided in the kit allows you to be sure that the experimental set-up is working properly.
  2. Do not allow slides to dry at any time during this procedure.
  3. Please don't replace the matching reagents in this product with other manufacturers' products.
  4. As DAB is a carcinogen, please take necessary precautions.
  5. PBS (reagent 1) can be stored for one week at 4℃ after preparation; The antigen retrieval buffer (1×reagent 2) and the chromogenic agent (the mixture of reagents 7 and 8) should be prepared right before each assay.


As DAB is a carcinogen, please take necessary precautions.

Important Note: This product as supplied is intended for research use only, not for use in human, therapeutic or diagnostic applications.