Receive 30% off all Monoclonal IHC antibodies with code "MONO-IHC-30"! Offer valid for US customers and available internationally through distributors.

Human p27 KIP 1 Ready-To-Use IHC Kit

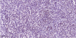
Immunohistochemical analysis of paraffin embedded human glioma tissue slide using IHC0409H (Human p27 KIP 1 IHC Kit).
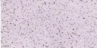
Immunohistochemical analysis of paraffin embedded human ovarian cancer tissue slide using IHC0409H (Human p27 KIP 1 IHC Kit).

Human p27 KIP 1 Ready-To-Use IHC Kit

Cat. No.: IHC0409H
Sample Type:
FFPE tissue
Size:
50T (including a control slide)
Storage and Stability:
Please store components at the temperatures indicated on the individual tube labels. The kit is stable for 6 months from the date of receipt.

Background

p27 Kip1 functions as a negative regulator of G1 mouse expression and has been proposed to function as a possible mediator of TGFb induced G1 arrest. p27 Kip1 is an important regulator of cell cycle progression, a potent inhibitor of cyclin E- and cyclin A-CDK2 complexes. p27 Kip1 forms a complex with cyclin type D-CDK4 complexes and is involved in the assembly, stability, and modulation of CCND1-CDK4 complex activation. p27 Kip1 acts either as an inhibitor or an activator of cyclin type D-CDK4 complexes depending on its phosphorylation state and/or stoichometry. p27 Kip1 has a molecular weight of approximately 27kDa and the degradation of this protein, which is triggered by its CDK dependent phosphorylation and subsequent ubiquitination by SCF complexes, is required for the cellular transition from quiescence to the proliferative state.

Synonyms

AA408329; AI843786; CDKN1B; CDKN4; KIP1; MEN1B; MEN4; p27; P27KIP1; p27 KIP 1; CDN1B_HUMAN; Cdki1b; CDKN 1B; CDKN 4; Cyclin Dependent Kinase Inhibitor 1B; Cyclin Dependent Kinase Inhibitor 1B.Validation Data

Materials Supplied

"" ""
Number Component 50T Concentration Storage
1 PBS Buffer (powder) 2L x 2 20x RT
2 Antigen Retrieval Buffer 20ml 100x 2-8°C
3 Endogenous Peroxidase Blocking Buffer 3ml RTU 2-8°C
4 Blocking Buffer 3ml RTU 2-8°C
5Primary Antibody (Human p27 KIP 1 Recombinant Rabbit mAb)6ml RTU 2-8°C
6Secondary Antibody (Goat Anti-Rabbit IgG H&L, HRP conjugated)6ml RTU 2-8°C
7 Chromogen Component A 0.3ml RTU -20°C
8 Chromogen Component B 0.3ml RTU -20°C
9 Counter Staining Reagent 5ml RTU RT
10 Differentiation Reagent 6ml RTU RT
11 Mounting Media 5ml RTU RT
12 Control slide (human glioma) 1 slide RTU RT
13 Datasheet 1 copy

Notes

  1. The positive control slide provided in the kit allows you to be sure that the experimental set-up is working properly.
  2. Do not allow slides to dry at any time during this procedure.
  3. Please don't replace the matching reagents in this product with other manufacturers' products.
  4. As DAB is a carcinogen, please take necessary precautions.
  5. PBS (reagent 1) can be stored for one week at 4℃ after preparation; The antigen retrieval buffer (1×reagent 2) and the chromogenic agent (the mixture of reagents 7 and 8) should be prepared right before each assay.


As DAB is a carcinogen, please take necessary precautions.

Important Note: This product as supplied is intended for research use only, not for use in human, therapeutic or diagnostic applications.