Receive 30% off all Monoclonal IHC antibodies with code "MONO-IHC-30"! Offer valid for US customers and available internationally through distributors.

Human Transglutaminase 2 Ready-To-Use IHC Kit

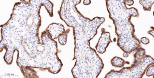
Immunohistochemical analysis of paraffin embedded human placenta tissue slide using IHC0437H (Human Transglutaminase 2 IHC Kit).

Human Transglutaminase 2 Ready-To-Use IHC Kit

Cat. No.: IHC0437H
Sample Type:
FFPE tissue
Size:
50T (including a control slide)
Storage and Stability:
Please store components at the temperatures indicated on the individual tube labels. The kit is stable for 6 months from the date of receipt.

Background

Transglutaminase (TGase) catalyses the crosslink of proteins by forming e-(g-glutamyl) lysine isopeptide bonds and requires the binding of Ca2+ for its activity. In mammals, eight distinct TGase isoenzymes have been identified. Tissue transglutaminase (tTGase), also known as TGase 2, has four distinct domains: N-terminal b-sandwich, catalytic core and two C-terminal b-barrel domains. tTGase may have a role in cell death, cell proliferation, cell differentiation, and receptor-mediated endocytosis. In the Alzheimer's disease brain, the elevated tTGase activity is manifested by polymerization ofa number of proteins, including Ab peptide, b-amyloid precursor protein and the tau protein, with formation of neurofibrillary tangles.

Synonyms

Materials Supplied

"" ""
Number Component 50T Concentration Storage
1 PBS Buffer (powder) 2L x 2 20x RT
2 Antigen Retrieval Buffer 20ml 100x 2-8°C
3 Endogenous Peroxidase Blocking Buffer 3ml RTU 2-8°C
4 Blocking Buffer 3ml RTU 2-8°C
5Primary Antibody (Human Transglutaminase 2 Recombinant Rabbit mAb)6ml RTU 2-8°C
6Secondary Antibody (Goat Anti-Rabbit IgG H&L, HRP conjugated)6ml RTU 2-8°C
7 Chromogen Component A 0.3ml RTU -20°C
8 Chromogen Component B 0.3ml RTU -20°C
9 Counter Staining Reagent 5ml RTU RT
10 Differentiation Reagent 6ml RTU RT
11 Mounting Media 5ml RTU RT
12 Control slide (human placenta) 1 slide RTU RT
13 Datasheet 1 copy

Notes

  1. The positive control slide provided in the kit allows you to be sure that the experimental set-up is working properly.
  2. Do not allow slides to dry at any time during this procedure.
  3. Please don't replace the matching reagents in this product with other manufacturers' products.
  4. As DAB is a carcinogen, please take necessary precautions.
  5. PBS (reagent 1) can be stored for one week at 4℃ after preparation; The antigen retrieval buffer (1×reagent 2) and the chromogenic agent (the mixture of reagents 7 and 8) should be prepared right before each assay.


As DAB is a carcinogen, please take necessary precautions.

Important Note: This product as supplied is intended for research use only, not for use in human, therapeutic or diagnostic applications.