Receive 30% off all Monoclonal IHC antibodies with code "MONO-IHC-30"! Offer valid for US customers and available internationally through distributors.

Human PON1 Ready-To-Use IHC Kit

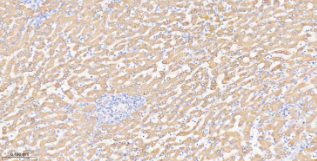
Immunohistochemical analysis of paraffin embedded human liver tissue slide using IHC0442H (Human PON1 IHC Kit).

Human PON1 Ready-To-Use IHC Kit

Cat. No.: IHC0442H
Sample Type:
FFPE tissue
Size:
50T (including a control slide)
Storage and Stability:
Please store components at the temperatures indicated on the individual tube labels. The kit is stable for 6 months from the date of receipt.

Background

The paraoxonase (PON) gene-family in humans has three members, PON1, PON2, and PON3, aligned next to each other on the long arm of chromosome 7q21.3-22.1. PON1 of these is synthesized primarily in theliver and a portion is secreted into the plasma, where it is associated with high density lipoproteins (HDL). And It hydrolyzes the active metabolites of several other organophosphorus insecticides (e.g., chlorpyrifos oxon, diazoxon), as well as nerve agents such as sarin, soman and VX (lethal nerve agent). The PON1 polymorphism may be responsible for neurodegeneration and considered to be an independent risk factor for Parkinson's disease.

Synonyms

PON1; A esterase 1; A-esterase 1; Aromatic esterase 1; Arylesterase B type; ESA; Esterase A; K 45; K-45; MVCD5; Paraoxonase 1; Paraoxonase; Paraoxonase B type; Paraoxonase1; PON 1; PON; PON-1; PON1_HUMAN; Serum aryldiakylphosphatase; Serum aryldialkylphosphatase 1; Serum paraoxonase/arylesterase 1.Validation Data

Materials Supplied

"" ""
Number Component 50T Concentration Storage
1 PBS Buffer (powder) 2L x 2 20x RT
2 Antigen Retrieval Buffer 20ml 100x 2-8°C
3 Endogenous Peroxidase Blocking Buffer 3ml RTU 2-8°C
4 Blocking Buffer 3ml RTU 2-8°C
5Primary Antibody (Human PON1 Recombinant Rabbit mAb)6ml RTU 2-8°C
6Secondary Antibody (Goat Anti-Rabbit IgG H&L, HRP conjugated)6ml RTU 2-8°C
7 Chromogen Component A 0.3ml RTU -20°C
8 Chromogen Component B 0.3ml RTU -20°C
9 Counter Staining Reagent 5ml RTU RT
10 Differentiation Reagent 6ml RTU RT
11 Mounting Media 5ml RTU RT
12 Control slide (human liver) 1 slide RTU RT
13 Datasheet 1 copy

Notes

  1. The positive control slide provided in the kit allows you to be sure that the experimental set-up is working properly.
  2. Do not allow slides to dry at any time during this procedure.
  3. Please don't replace the matching reagents in this product with other manufacturers' products.
  4. As DAB is a carcinogen, please take necessary precautions.
  5. PBS (reagent 1) can be stored for one week at 4℃ after preparation; The antigen retrieval buffer (1×reagent 2) and the chromogenic agent (the mixture of reagents 7 and 8) should be prepared right before each assay.


As DAB is a carcinogen, please take necessary precautions.

Important Note: This product as supplied is intended for research use only, not for use in human, therapeutic or diagnostic applications.