Receive 30% off all Monoclonal IHC antibodies with code "MONO-IHC-30"! Offer valid for US customers and available internationally through distributors.

Rat Tyrosine Hydroxylase Ready-To-Use IHC Kit

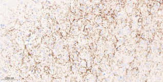
Immunohistochemical analysis of paraffin embedded rat brain tissue slide using IHC0450R (Rat Tyrosine Hydroxylase IHC Kit).

Rat Tyrosine Hydroxylase Ready-To-Use IHC Kit

Cat. No.: IHC0450R
Sample Type:
FFPE tissue
Size:
50T (including a control slide)
Storage and Stability:
Please store components at the temperatures indicated on the individual tube labels. The kit is stable for 6 months from the date of receipt.

Background

Tyrosine hydroxylase (TH) is an enzyme involved in the synthesis of catecholamine neurotransmitters dopamine, epinephrine, and norepinephrine. In all species, catecholamine synthesis is regulated by the interaction of TH with a cofactor, tetrahydrobiopterin (BH4). BH4 binds to the TH catalytic domain, resulting in enzymatic activity. Unlike TH in non-primate species, four human TH mRNA splice variants (hTH1-hTH4) have been isolated. These variants are identical in their catalytic domain, but differ in their N-terminal, regulatory domains. TH is also responsible for the conversion of L-tyrosineto L-dopa. TH plays a key role in the physiology of adrenergic neurons. The role of TH in the synthesis of catecholamine neurotransmitters suggests a correlation between the enzyme and a number of neuropathogenic diseases including: Parkinson's disease, schizophrenia, Segawa syndrome, and dystonia, as well as a variety of cardiovascular diseases.

Synonyms

Tyrosine Hydroxylase; DYT14; DYT5b; ple; Protein Pale; c; The; TYH; Tyrosine 3 hydroxylase; Tyrosine 3 monooxygenase; Tyk2; TY3H_HUMAN; Tyrosine 3-monooxygenase; Tyrosine 3-hydroxylase; TH.Validation Data

Materials Supplied

"" ""
Number Component 50T Concentration Storage
1 PBS Buffer (powder) 2L x 2 20x RT
2 Antigen Retrieval Buffer 20ml 100x 2-8°C
3 Endogenous Peroxidase Blocking Buffer 3ml RTU 2-8°C
4 Blocking Buffer 3ml RTU 2-8°C
5Primary Antibody (Rat Tyrosine Hydroxylase Recombinant Rabbit mAb)6ml RTU 2-8°C
6Secondary Antibody (Goat Anti-Rabbit IgG H&L, HRP conjugated)6ml RTU 2-8°C
7 Chromogen Component A 0.3ml RTU -20°C
8 Chromogen Component B 0.3ml RTU -20°C
9 Counter Staining Reagent 5ml RTU RT
10 Differentiation Reagent 6ml RTU RT
11 Mounting Media 5ml RTU RT
12 Control slide (rat brain) 1 slide RTU RT
13 Datasheet 1 copy

Notes

  1. The positive control slide provided in the kit allows you to be sure that the experimental set-up is working properly.
  2. Do not allow slides to dry at any time during this procedure.
  3. Please don't replace the matching reagents in this product with other manufacturers' products.
  4. As DAB is a carcinogen, please take necessary precautions.
  5. PBS (reagent 1) can be stored for one week at 4℃ after preparation; The antigen retrieval buffer (1×reagent 2) and the chromogenic agent (the mixture of reagents 7 and 8) should be prepared right before each assay.


As DAB is a carcinogen, please take necessary precautions.

Important Note: This product as supplied is intended for research use only, not for use in human, therapeutic or diagnostic applications.