Receive 30% off all Monoclonal IHC antibodies with code "MONO-IHC-30"! Offer valid for US customers and available internationally through distributors.

Rat GBA Ready-To-Use IHC Kit

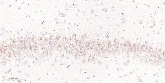
Immunohistochemical analysis of paraffin embedded rat brain tissue slide using IHC0457R (Rat GBA IHC Kit).

Rat GBA Ready-To-Use IHC Kit

Cat. No.: IHC0457R
Sample Type:
FFPE tissue
Size:
50T (including a control slide)
Storage and Stability:
Please store components at the temperatures indicated on the individual tube labels. The kit is stable for 6 months from the date of receipt.

Background

GBA encodes a lysosomal membrane protein that cleaves the beta-glucosidic linkage of glycosylceramide, an intermediate in glycolipid metabolism. Mutations in this gene cause Gaucher disease, a lysosomal storage disease characterized by an accumulation of glucocerebrosides. A related pseudogene is approximately 12 kb downstream of this gene on chromosome 1. Alternative splicing results in multipletranscript variants.

Synonyms

GBA; GC; GCase; Glucosidase beta; Acid beta glucosidase; Acid beta-glucosidase; Alglucerase; Beta glucocerebrosidase; BETA GLUCOSIDASE; ACID; Beta-glucocerebrosidase; betaGC;D glucosyl N acylsphingosine glucohydrolase; D-glucosyl-N-acylsphingosine glucohydrolase; EC 3.2.1.45 ; Gba protein; GBA1; GC antibody GCase; GCB; GLCM_HUMAN; GLUC; Glucocerebrosidase (alt.); Glucocerebrosidase; GLUCOCEREBROSIDASE PSEUDOGENE; Glucosidase beta; Glucosidase; beta; acid; Glucosidase; beta; acid (includes glucosylceramidase); Glucosylceramidase; Imiglucerase; Lysosomal glucocerebrosidase.Validation Data

Materials Supplied

""
Number Component 50T Concentration Storage
1 PBS Buffer (powder) 2L x 2 20x RT
2 Antigen Retrieval Buffer 20ml 100x 2-8°C
3 Endogenous Peroxidase Blocking Buffer 3ml RTU 2-8°C
4 Blocking Buffer 3ml RTU 2-8°C
5 Primary Antibody (Rat GBA Recombinant Rabbit mAb) 6ml RTU 2-8°C
6Secondary Antibody (Goat Anti-Rabbit IgG H&L, HRP conjugated)6ml RTU 2-8°C
7 Chromogen Component A 0.3ml RTU -20°C
8 Chromogen Component B 0.3ml RTU -20°C
9 Counter Staining Reagent 5ml RTU RT
10 Differentiation Reagent 6ml RTU RT
11 Mounting Media 5ml RTU RT
12 Control slide (rat brain) 1 slide RTU RT
13 Datasheet 1 copy

Notes

  1. The positive control slide provided in the kit allows you to be sure that the experimental set-up is working properly.
  2. Do not allow slides to dry at any time during this procedure.
  3. Please don't replace the matching reagents in this product with other manufacturers' products.
  4. As DAB is a carcinogen, please take necessary precautions.
  5. PBS (reagent 1) can be stored for one week at 4℃ after preparation; The antigen retrieval buffer (1×reagent 2) and the chromogenic agent (the mixture of reagents 7 and 8) should be prepared right before each assay.


As DAB is a carcinogen, please take necessary precautions.

Important Note: This product as supplied is intended for research use only, not for use in human, therapeutic or diagnostic applications.