Human VEGFR2 Ready-To-Use IHC Kit
Human VEGFR2 Ready-To-Use IHC Kit
Cat. No.: IHC0459HSample Type: FFPE tissue
Size: 50T (including a control slide)
Storage and Stability: Please store components at the temperatures indicated on the individual tube labels. The kit is stable for 6 months from the date of receipt.
Background
KDR (FLK1, VEGFR2) is a type III receptor tyrosine kinase. It binds vascular endothelial growth factor with high affinity in vitro, and is expressed early in development by endothelial cell precursors. FLK1 (VEGF Receptor 2) encodes one of the two receptors of the VEGF. This receptor, known as kinase insert domain receptor, is a type III receptor tyrosine kinase. The signalling and trafficking ofthis receptor are regulated by multiple factors, including Rab GTPase, P2Y purine nucleotide receptor, integrin alphaVbeta3, T-cell protein tyrosine phosphatase, etc. Mutations of FLK1 (VEGF Receptor2) are implicated in infantile capillary hemangiomas.
Synonyms
6130401C07; Krd-1; sVEGFR-2; VEGF Receptor 2; CD309; CD309 antigen; Fetal liver kinase 1; FLK-1; FLK1; KDR; Kinase insert domain receptor (a type III receptor tyrosine kinase); Kinase insert domain receptor; KRD1; Ly73; Protein tyrosine kinase receptor FLK1; Protein-tyrosine kinase receptor flk-1; Tyrosine kinase growth factor receptor; Vascular endothelial growth factor receptor 2; VEGFR 2; VEGFR; VEGFR-2; VEGFR2; VGFR2_HUMAN.Validation Data
Materials Supplied
| Number | Component | 50T | Concentration | Storage |
|---|---|---|---|---|
| 1 | PBS Buffer (powder) | 2L x 2 | 20x | RT |
| 2 | Antigen Retrieval Buffer | 20ml | 100x | 2-8°C |
| 3 | Endogenous Peroxidase Blocking Buffer | 3ml | RTU | 2-8°C |
| 4 | Blocking Buffer | 3ml | RTU | 2-8°C |
| 5 | "Primary Antibody (Human VEGFR2 Recombinant Rabbit mAb) | "6ml | RTU | 2-8°C |
| 6 | "Secondary Antibody (Goat Anti-Rabbit IgG H&L, HRP conjugated) | "6ml | RTU | 2-8°C |
| 7 | Chromogen Component A | 0.3ml | RTU | -20°C |
| 8 | Chromogen Component B | 0.3ml | RTU | -20°C |
| 9 | Counter Staining Reagent | 5ml | RTU | RT |
| 10 | Differentiation Reagent | 6ml | RTU | RT |
| 11 | Mounting Media | 5ml | RTU | RT |
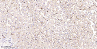
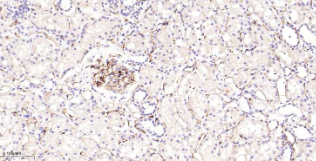
| 12 | Control slide (human liver) | 1 slide | RTU | RT |
| 13 | Datasheet | 1 copy |
Notes
- The positive control slide provided in the kit allows you to be sure that the experimental set-up is working properly.
- Do not allow slides to dry at any time during this procedure.
- Please don't replace the matching reagents in this product with other manufacturers' products.
- As DAB is a carcinogen, please take necessary precautions.
- PBS (reagent 1) can be stored for one week at 4℃ after preparation; The antigen retrieval buffer (1×reagent 2) and the chromogenic agent (the mixture of reagents 7 and 8) should be prepared right before each assay.
As DAB is a carcinogen, please take necessary precautions.
Important Note: This product as supplied is intended for research use only, not for use in human, therapeutic or diagnostic applications.