Receive 30% off all Monoclonal IHC antibodies with code "MONO-IHC-30"! Offer valid for US customers and available internationally through distributors.

Human TNFAIP3 Ready-To-Use IHC Kit

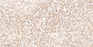
Immunohistochemical analysis of paraffin embedded human hepatocellular carcinoma tissue slide using IHC0469H (Human TNFAIP3 IHC Kit).
Immunohistochemical analysis of paraffin embedded human kidney tissue slide using IHC0469H (Human TNFAIP3 IHC Kit).
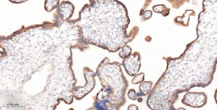
Immunohistochemical analysis of paraffin embedded human placenta tissue slide using IHC0469H (Human TNFAIP3 IHC Kit).

Human TNFAIP3 Ready-To-Use IHC Kit

Cat. No.: IHC0469H
Sample Type:
FFPE tissue
Size:
50T (including a control slide)
Storage and Stability:
Please store components at the temperatures indicated on the individual tube labels. The kit is stable for 6 months from the date of receipt.

Background

TNFAIP3, also known as A20, is located in chromosome band 6q23, a region that is often deleted in B cell lymphomas. Recently, it was identified as a tumor suppressor gene in Hodgkin lymphoma and several subtypes of non-Hodgkin lymphomas. TNFAIP3 was initially identified as a zinc-finger protein that is rapidly and transiently induced by TNF-a, inhibiting NF-kappa-B-dependent gene expression, and protecting cells from TNF-a-cytotoxicity. Overexpression of TNFAIP3 also inhibits the TLR2- and TLR4-mediated interleukin-8 synthesis in airway epithelial cells, suggesting that TNFAIP3 also acts as anegative regulator of TLR-mediated inflammatory responses, thereby protecting the host against harmful over-responses to pathogens. At least two isoforms of TNFAIP3 are known to exist.

Synonyms

Materials Supplied

"" ""
Number Component 50T Concentration Storage
1 PBS Buffer (powder) 2L x 2 20x RT
2 Antigen Retrieval Buffer 20ml 100x 2-8°C
3 Endogenous Peroxidase Blocking Buffer 3ml RTU 2-8°C
4 Blocking Buffer 3ml RTU 2-8°C
5Primary Antibody (Human TNFAIP3 Recombinant Rabbit mAb)6ml RTU 2-8°C
6Secondary Antibody (Goat Anti-Rabbit IgG H&L, HRP conjugated)6ml RTU 2-8°C
7 Chromogen Component A 0.3ml RTU -20°C
8 Chromogen Component B 0.3ml RTU -20°C
9 Counter Staining Reagent 5ml RTU RT
10 Differentiation Reagent 6ml RTU RT
11 Mounting Media 5ml RTU RT
12 Control slide (human kidney) 1 slide RTU RT
13 Datasheet 1 copy

Notes

  1. The positive control slide provided in the kit allows you to be sure that the experimental set-up is working properly.
  2. Do not allow slides to dry at any time during this procedure.
  3. Please don't replace the matching reagents in this product with other manufacturers' products.
  4. As DAB is a carcinogen, please take necessary precautions.
  5. PBS (reagent 1) can be stored for one week at 4℃ after preparation; The antigen retrieval buffer (1×reagent 2) and the chromogenic agent (the mixture of reagents 7 and 8) should be prepared right before each assay.


As DAB is a carcinogen, please take necessary precautions.

Important Note: This product as supplied is intended for research use only, not for use in human, therapeutic or diagnostic applications.