Receive 30% off all Monoclonal IHC antibodies with code "MONO-IHC-30"! Offer valid for US customers and available internationally through distributors.

Human Vinculin Ready-To-Use IHC Kit

Immunohistochemical analysis of paraffin embedded human colon cancer tissue slide using IHC0473H (Human Vinculin IHC Kit).
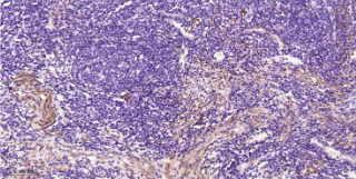
Immunohistochemical analysis of paraffin embedded human prostate cancer tissue slide using IHC0473H (Human Vinculin IHC Kit).

Human Vinculin Ready-To-Use IHC Kit

Cat. No.: IHC0473H
Sample Type:
FFPE tissue
Size:
50T (including a control slide)
Storage and Stability:
Please store components at the temperatures indicated on the individual tube labels. The kit is stable for 6 months from the date of receipt.

Background

Vinculin (VCL) is a cytoskeletal protein associated with cell-cell and cell-extracellular matrix adherens-type junctions. It functions as one of several interacting proteins involved in anchoring F-actin to the membrane. It has been shown that a sequence of molecular interactions might be involved in the transmembrane assembly of adhesion plaques. In the assembly of adhesion plaques, the beta subunit of integrin binds to talin. Talin binds to vinculin that interacts with alpha-actinin and possibly with itself. Since alpha-actinin binds to and cross-links actin filaments, vinculin represents akey element in the transmembrane linkage of the extracellular matrix to the cytoplasmic microfilament system. Mutations in the gene can result in cardiomyopathy dilated 1W or familial hypertrophic 15.

Synonyms

9430097D22; AA571387; AI462105; AW545629; CMD1W; CMH15; HEL114; MV; MVCL; VCL; Metavinculin; Vinculin.Validation Data

Materials Supplied

""
Number Component 50T Concentration Storage
1 PBS Buffer (powder) 2L x 2 20x RT
2 Antigen Retrieval Buffer 20ml 100x 2-8°C
3 Endogenous Peroxidase Blocking Buffer 3ml RTU 2-8°C
4 Blocking Buffer 3ml RTU 2-8°C
5 Primary Antibody (Human Vinculin Recombinant Rabbit mAb, Loading Control) 6ml RTU 2-8°C
6Secondary Antibody (Goat Anti-Rabbit IgG H&L, HRP conjugated)6ml RTU 2-8°C
7 Chromogen Component A 0.3ml RTU -20°C
8 Chromogen Component B 0.3ml RTU -20°C
9 Counter Staining Reagent 5ml RTU RT
10 Differentiation Reagent 6ml RTU RT
11 Mounting Media 5ml RTU RT
12 Control slide (human prostate cancer) 1 slide RTU RT
13 Datasheet 1 copy

Notes

  1. The positive control slide provided in the kit allows you to be sure that the experimental set-up is working properly.
  2. Do not allow slides to dry at any time during this procedure.
  3. Please don't replace the matching reagents in this product with other manufacturers' products.
  4. As DAB is a carcinogen, please take necessary precautions.
  5. PBS (reagent 1) can be stored for one week at 4℃ after preparation; The antigen retrieval buffer (1×reagent 2) and the chromogenic agent (the mixture of reagents 7 and 8) should be prepared right before each assay.


As DAB is a carcinogen, please take necessary precautions.

Important Note: This product as supplied is intended for research use only, not for use in human, therapeutic or diagnostic applications.