Receive 30% off all Monoclonal IHC antibodies with code "MONO-IHC-30"! Offer valid for US customers and available internationally through distributors.

Mouse CCR7 Ready-To-Use IHC Kit

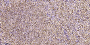
Immunohistochemical analysis of paraffin embedded mouse spleen tissue slide using IHC0474M (Mouse CCR7 IHC Kit).

Mouse CCR7 Ready-To-Use IHC Kit

Cat. No.: IHC0474M
Sample Type:
FFPE tissue
Size:
50T (including a control slide)
Storage and Stability:
Please store components at the temperatures indicated on the individual tube labels. The kit is stable for 6 months from the date of receipt.

Background

CCR7 is a member of the G protein coupled receptor family, which is a subfamily of chemokines. CCR7 was identified to be induced by the Epstein Barr virus (EBV), and is thought to be a mediator of EBVeffects on B lymphocytes. CCR7 has been reported to be expressed in blood, bone marrow, lymph node, and intestine. CCR7 is particularly expressed in lymphoid tissues and in activated B and T lymphocytes and has been shown to control the migration of memory T cells to inflamed tissues, as well as stimulate dendritic cell maturation. The chemokine (C-C motif) ligand 19 (CCL19/ECL) has been reportedto be a specific ligand of this receptor. ESTs have been isolated from blood, embryo, lymph node, and thymus libraries. Receptors for the C - C chemokine family include CCR 1, CCR 2A, CCR 3, CCR 4, CCR 5 and the Duffy blood group antigen. The C-C receptors are important in the function of T cell chemotaxis and migration of phagocytic cells to sites of inflammation.

Synonyms

Materials Supplied

"" ""
Number Component 50T Concentration Storage
1 PBS Buffer (powder) 2L x 2 20x RT
2 Antigen Retrieval Buffer 20ml 100x 2-8°C
3 Endogenous Peroxidase Blocking Buffer 3ml RTU 2-8°C
4 Blocking Buffer 3ml RTU 2-8°C
5Primary Antibody (Mouse CCR7 Recombinant Rabbit mAb)6ml RTU 2-8°C
6Secondary Antibody (Goat Anti-Rabbit IgG H&L, HRP conjugated)6ml RTU 2-8°C
7 Chromogen Component A 0.3ml RTU -20°C
8 Chromogen Component B 0.3ml RTU -20°C
9 Counter Staining Reagent 5ml RTU RT
10 Differentiation Reagent 6ml RTU RT
11 Mounting Media 5ml RTU RT
12 Control slide (mouse spleen) 1 slide RTU RT
13 Datasheet 1 copy

Notes

  1. The positive control slide provided in the kit allows you to be sure that the experimental set-up is working properly.
  2. Do not allow slides to dry at any time during this procedure.
  3. Please don't replace the matching reagents in this product with other manufacturers' products.
  4. As DAB is a carcinogen, please take necessary precautions.
  5. PBS (reagent 1) can be stored for one week at 4℃ after preparation; The antigen retrieval buffer (1×reagent 2) and the chromogenic agent (the mixture of reagents 7 and 8) should be prepared right before each assay.


As DAB is a carcinogen, please take necessary precautions.

Important Note: This product as supplied is intended for research use only, not for use in human, therapeutic or diagnostic applications.