Receive 30% off all Monoclonal IHC antibodies with code "MONO-IHC-30"! Offer valid for US customers and available internationally through distributors.

Rat TTF1/NKX2-1 Ready-To-Use IHC Kit

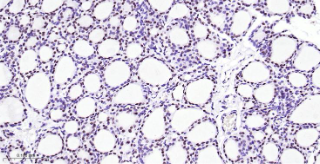
Immunohistochemical analysis of paraffin embedded rat thyroid gland tissue slide using IHC0477R (Rat TTF1/NKX2-1 IHC Kit).

Rat TTF1/NKX2-1 Ready-To-Use IHC Kit

Cat. No.: IHC0477R
Sample Type:
FFPE tissue
Size:
50T (including a control slide)
Storage and Stability:
Please store components at the temperatures indicated on the individual tube labels. The kit is stable for 6 months from the date of receipt.

Background

This gene encodes a protein initially identified as a thyroid-specific transcription factor. The encoded protein binds to thyroglobulin promoter and regulates the expression of thyroid-specific genesbut has also been shown to regulate the expression of genes involved in morphogenesis. Mutations and deletions in this gene are associated with benign hereditary chorea, choreoathetosis, congenital hypothyroidism, and neonatal respiratory distress, and may be associated with thyroid cancer. Multiple transcript variants encoding different isoforms have been found for this gene.

Synonyms

NK-2; Nkx-2.1; NKX2-1; NMTC1; T/EBP; TEBP; TITF1; TTF-1; TTF1; AV026640; BCH; Benign chorea; BHC; Homeobox protein NK 2 homolog A; Homeobox protein NK-2 homolog A; Homeobox protein Nkx 2.1; Homeobox protein Nkx-2.1; Homeobox protein Nkx2.1; NK 2; NK 2 homolog A; NK2; NK2 homeobox 1; NK2, drosophila, homolog of, A; NK2.1, mouse, homolog of; Nkx 2 1;NKX 2.1; NKX 2A; NKX2 1; Nkx2-1; NKX2.1; NKX21_HUMAN; NKX2A.Validation Data

Materials Supplied

"" ""
Number Component 50T Concentration Storage
1 PBS Buffer (powder) 2L x 2 20x RT
2 Antigen Retrieval Buffer 20ml 100x 2-8°C
3 Endogenous Peroxidase Blocking Buffer 3ml RTU 2-8°C
4 Blocking Buffer 3ml RTU 2-8°C
5Primary Antibody (Rat TTF1/NKX2-1 Recombinant Rabbit mAb)6ml RTU 2-8°C
6Secondary Antibody (Goat Anti-Rabbit IgG H&L, HRP conjugated)6ml RTU 2-8°C
7 Chromogen Component A 0.3ml RTU -20°C
8 Chromogen Component B 0.3ml RTU -20°C
9 Counter Staining Reagent 5ml RTU RT
10 Differentiation Reagent 6ml RTU RT
11 Mounting Media 5ml RTU RT
12 Control slide (rat lung) 1 slide RTU RT
13 Datasheet 1 copy

Notes

  1. The positive control slide provided in the kit allows you to be sure that the experimental set-up is working properly.
  2. Do not allow slides to dry at any time during this procedure.
  3. Please don't replace the matching reagents in this product with other manufacturers' products.
  4. As DAB is a carcinogen, please take necessary precautions.
  5. PBS (reagent 1) can be stored for one week at 4℃ after preparation; The antigen retrieval buffer (1×reagent 2) and the chromogenic agent (the mixture of reagents 7 and 8) should be prepared right before each assay.


As DAB is a carcinogen, please take necessary precautions.

Important Note: This product as supplied is intended for research use only, not for use in human, therapeutic or diagnostic applications.