Receive 30% off all Monoclonal IHC antibodies with code "MONO-IHC-30"! Offer valid for US customers and available internationally through distributors.

Human CD7 Ready-To-Use IHC Kit

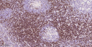
Immunohistochemical analysis of paraffin embedded human tonsil tissue slide using IHC0501H (Human CD7 IHC Kit).
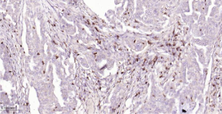
Immunohistochemical analysis of paraffin embedded human lung cancer tissue slide using IHC0501H (Human CD7 IHC Kit).
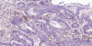
Immunohistochemical analysis of paraffin embedded human colon cancer tissue slide using IHC0501H (Human CD7 IHC Kit).
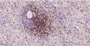
Immunohistochemical analysis of paraffin embedded human spleen tissue slide using IHC0501H (Human CD7 IHC Kit).

Human CD7 Ready-To-Use IHC Kit

Cat. No.: IHC0501H
Sample Type:
FFPE tissue
Size:
50T (including a control slide)
Storage and Stability:
Please store components at the temperatures indicated on the individual tube labels. The kit is stable for 6 months from the date of receipt.

Background

CD7 (gp40, Leu9) is a 40 kDa member of the immunoglobulin gene superfamily. CD7 contains N-terminal amino acids 1-107 are highly homologous to Ig kappa-L chains whereas the carboxy-terminal region ofthe extracellular domain is proline-rich and has been postulated to form a stalk from which the Ig domain projects. CD7 is expressed on the majority of immature and mature T-lymphocytes, and T cell leukemia. Further, CD7 is also found on natural killer cells, a small subpopulation of normal B cells and on malignant B cells. Cross-linking surface CD7 positively modulates T cell and NK cell activityas measured by calcium fluxes, expression of adhesion molecules, cytokine secretion and proliferation. CD7 associates directly with phosphoinositol 3'-kinase. CD7 ligation induces production of D-3 phosphoinositides and tyrosine phosphorylation. Expression of CD7 is an important marker used in leukemia diagnostics.

Synonyms

LEU-9; CD7; CD7 antigen (p41); CD7 molecule; CD7_HUMAN; T-cell antigen CD7; T-cell leukemia antigen; T-cell surface antigen Leu-9; CD 7; CD7 antigen; CD7 antigen p41; CD7 molecule; GP 40; GP40; LEU 9; LEU9; p41; p41 protein; T cell antigen CD7; T cell antigen CD7 precursor; T cell leukemia antigen; Tp 40; TP 41; Tp40; TP41.Validation Data

Materials Supplied

"" ""
Number Component 50T Concentration Storage
1 PBS Buffer (powder) 2L x 2 20x RT
2 Antigen Retrieval Buffer 20ml 100x 2-8°C
3 Endogenous Peroxidase Blocking Buffer 3ml RTU 2-8°C
4 Blocking Buffer 3ml RTU 2-8°C
5Primary Antibody (Human CD7 Recombinant Rabbit mAb)6ml RTU 2-8°C
6Secondary Antibody (Goat Anti-Rabbit IgG H&L, HRP conjugated)6ml RTU 2-8°C
7 Chromogen Component A 0.3ml RTU -20°C
8 Chromogen Component B 0.3ml RTU -20°C
9 Counter Staining Reagent 5ml RTU RT
10 Differentiation Reagent 6ml RTU RT
11 Mounting Media 5ml RTU RT
12 Control slide (human tonsil) 1 slide RTU RT
13 Datasheet 1 copy

Notes

  1. The positive control slide provided in the kit allows you to be sure that the experimental set-up is working properly.
  2. Do not allow slides to dry at any time during this procedure.
  3. Please don't replace the matching reagents in this product with other manufacturers' products.
  4. As DAB is a carcinogen, please take necessary precautions.
  5. PBS (reagent 1) can be stored for one week at 4℃ after preparation; The antigen retrieval buffer (1×reagent 2) and the chromogenic agent (the mixture of reagents 7 and 8) should be prepared right before each assay.


As DAB is a carcinogen, please take necessary precautions.

Important Note: This product as supplied is intended for research use only, not for use in human, therapeutic or diagnostic applications.