Receive 30% off all Monoclonal IHC antibodies with code "MONO-IHC-30"! Offer valid for US customers and available internationally through distributors.

Rat FOXL2 Ready-To-Use IHC Kit

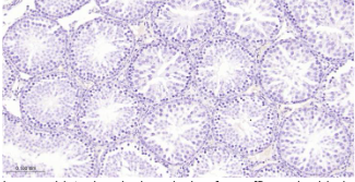
Immunohistochemical analysis of paraffin embedded Rat testis tissue slide using IHC0505R (Rat FOXL2 Kit).

Rat FOXL2 Ready-To-Use IHC Kit

Cat. No.: IHC0505R
Sample Type:
FFPE tissue
Size:
50T (including a control slide)
Storage and Stability:
Please store components at the temperatures indicated on the individual tube labels. The kit is stable for 6 months from the date of receipt.

Background

FOXL2 is a winged helix/forkhead transcription factor that is highly conserved in human, goat, mouse, and certain aquatic species. Given its cross-species conservation, it appears to play a critical role evolutionarily, likely in ovarian differentiation in mammals and in ovarian somatic cell differentiation and in further follicle development and/or maintenance. Immunohistochemical data shows that FOXL2 is a nuclear protein specifically expressed in eyelids and in fetal and adult ovarian follicular cells. It does not undergo any major posttranslational modifications. FOXL2 is also found to be associated with blepharo-phimosis/ptosis/epicanthus inverses syndrome (BPES). There are two forms of BPES. Type I BPES shows eyelid abnormal-ities that are associated with ovarian failure. In type II BPES, only eyelid defects are found. Studies have shown that FOXL2 is expressed in the mesenchyme of developing mouse eyelids and in adult ovarian follicles.

Synonyms

AU045128; BPES; BPES1; FOXL2; PFRK; PINTO; POF3.Validation Data

Materials Supplied

Number Component 50T Concentration Storage
1 PBS Buffer (powder) 2L x 2 20x RT
2 Antigen Retrieval Buffer 20ml 100x 2-8°C
3 Endogenous Peroxidase Blocking Buffer 3ml RTU 2-8°C
4 Blocking Buffer 3ml RTU 2-8°C
5 Primary Antibody (Rat FOXL2 Recombinant Rabbit mAb) 6ml RTU 2-8°C
6 Secondary Antibody (Goat Anti-Rabbit IgG H&L, HRP conjugated) 6ml RTU 2-8°C
7 Chromogen Component A 0.3ml RTU -20°C
8 Chromogen Component B 0.3ml RTU -20°C
9 Counter Staining Reagent 5ml RTU RT
10 Differentiation Reagent 6ml RTU RT
11 Mounting Media 5ml RTU RT
12 Control slide (Rat ovary) 1 slide RTU RT
13 Datasheet 1 copy

Notes

  1. The positive control slide provided in the kit allows you to be sure that the experimental set-up is working properly.
  2. Do not allow slides to dry at any time during this procedure.
  3. Please don't replace the matching reagents in this product with other manufacturers' products.
  4. As DAB is a carcinogen, please take necessary precautions.
  5. PBS (reagent 1) can be stored for one week at 4℃ after preparation; The antigen retrieval buffer (1×reagent 2) and the chromogenic agent (the mixture of reagents 7 and 8) should be prepared right before each assay.


As DAB is a carcinogen, please take necessary precautions.

Important Note: This product as supplied is intended for research use only, not for use in human, therapeutic or diagnostic applications.