Receive 30% off all Monoclonal IHC antibodies with code "MONO-IHC-30"! Offer valid for US customers and available internationally through distributors.

Rat ITGB3 Ready-To-Use IHC Kit

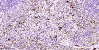
Immunohistochemical analysis of paraffin embedded Rat spleen tissue slide using IHC0511R (Rat ITGB3 Kit).

Rat ITGB3 Ready-To-Use IHC Kit

Cat. No.: IHC0511R
Sample Type:
FFPE tissue
Size:
50T (including a control slide)
Storage and Stability:
Please store components at the temperatures indicated on the individual tube labels. The kit is stable for 6 months from the date of receipt.

Background

CD61, also known as GPIIIa or ITGB3, is a 105 kDa glycoprotein expressed on activated T cells, granulocytes, megakaryocytes, platelets, and their precursors. It plays a crucial role in platelet aggregation and functions as a receptor for fibrinogen, fibronectin, von Willebrand factor, vitronectin, and thrombospondin. CD61 forms heterodimeric complexes by associating non-covalently with integrin alpha subunits: alphaV (CD51) to create the Vitronectin Receptor and alphaIIb (CD41) to form gpIIb/IIIa. These complexes are responsible for adhesion to extracellular matrix components, facilitating cell adhesion and cell-surface mediated signaling. CD61 is expressed on platelets and megakaryocytes in association with CD41, and on endothelial cells, monocytes, and osteoclasts in association with CD51. The protein product of CD61 is composed of an alpha chain and a beta chain, which can combine with multiple partners to form different integrins. Its involvement in cell adhesion and signaling underscores its importance in normal physiological processes. Dysfunction of CD61 is associated with diseases such as Glanzmann Thrombasthenia and Platelet type-16 Bleeding Disorder, highlighting its critical role in hemostasis and platelet function.

Synonyms

Materials Supplied

Number Component 50T Concentration Storage
1 PBS Buffer (powder) 2L x 2 20x RT
2 Antigen Retrieval Buffer 20ml 100x 2-8°C
3 Endogenous Peroxidase Blocking Buffer 3ml RTU 2-8°C
4 Blocking Buffer 3ml RTU 2-8°C
5 Primary Antibody (Rat ITGB3 Recombinant Rabbit mAb) 6ml RTU 2-8°C
6 Secondary Antibody (Goat Anti-Rabbit IgG H&L, HRP conjugated) 6ml RTU 2-8°C
7 Chromogen Component A 0.3ml RTU -20°C
8 Chromogen Component B 0.3ml RTU -20°C
9 Counter Staining Reagent 5ml RTU RT
10 Differentiation Reagent 6ml RTU RT
11 Mounting Media 5ml RTU RT
12 Control slide (Rat spleen) 1 slide RTU RT
13 Datasheet 1 copy

Notes

  1. The positive control slide provided in the kit allows you to be sure that the experimental set-up is working properly.
  2. Do not allow slides to dry at any time during this procedure.
  3. Please don't replace the matching reagents in this product with other manufacturers' products.
  4. As DAB is a carcinogen, please take necessary precautions.
  5. PBS (reagent 1) can be stored for one week at 4℃ after preparation; The antigen retrieval buffer (1×reagent 2) and the chromogenic agent (the mixture of reagents 7 and 8) should be prepared right before each assay.


As DAB is a carcinogen, please take necessary precautions.

Important Note: This product as supplied is intended for research use only, not for use in human, therapeutic or diagnostic applications.