Receive 30% off all Monoclonal IHC antibodies with code "MONO-IHC-30"! Offer valid for US customers and available internationally through distributors.

Mouse MEK1 Ready-To-Use IHC Kit

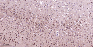
Immunohistochemical analysis of paraffin embedded Mouse brain tissue slide using IHC0516M (Mouse MEK1 Kit).

Mouse MEK1 Ready-To-Use IHC Kit

Cat. No.: IHC0516M
Sample Type:
FFPE tissue
Size:
50T (including a control slide)
Storage and Stability:
Please store components at the temperatures indicated on the individual tube labels. The kit is stable for 6 months from the date of receipt.

Background

MAP2K1 (MEK1) kinase is a dual-specificity protein kinase that functions in mitogen-activated protein kinase (MAPK) cascades, controlling cell growth and differentiation. MAP2K1 is activated by a wide variety of growth factors and cytokines and also by membrane-dependent depolarization and calcium influx. Mek1 is activated by phosphorylation of serine 218 and 222 residues by Raf1. It is known to be involved in the signaling during stress activate response, apoptosis and proliferative induction by cytokines. Mutations in the gene can lead to cardiofaciocutaneous syndrome.

Synonyms

CFC3; MAP2K1; MAPKK1; mek-2; MEK1; MEKK1; MKK1; PRKMK1; XELAEV_18018447mg.Validation Data

Materials Supplied

Number Component 50T Concentration Storage
1 PBS Buffer (powder) 2L x 2 20x RT
2 Antigen Retrieval Buffer 20ml 100x 2-8°C
3 Endogenous Peroxidase Blocking Buffer 3ml RTU 2-8°C
4 Blocking Buffer 3ml RTU 2-8°C
5 Primary Antibody (Mouse MEK1 Recombinant Rabbit mAb) 6ml RTU 2-8°C
6 Secondary Antibody (Goat Anti-Rabbit IgG H&L, HRP conjugated) 6ml RTU 2-8°C
7 Chromogen Component A 0.3ml RTU -20°C
8 Chromogen Component B 0.3ml RTU -20°C
9 Counter Staining Reagent 5ml RTU RT
10 Differentiation Reagent 6ml RTU RT
11 Mounting Media 5ml RTU RT
12 Control slide (Mouse brain) 1 slide RTU RT
13 Datasheet 1 copy

Notes

  1. The positive control slide provided in the kit allows you to be sure that the experimental set-up is working properly.
  2. Do not allow slides to dry at any time during this procedure.
  3. Please don't replace the matching reagents in this product with other manufacturers' products.
  4. As DAB is a carcinogen, please take necessary precautions.
  5. PBS (reagent 1) can be stored for one week at 4℃ after preparation; The antigen retrieval buffer (1×reagent 2) and the chromogenic agent (the mixture of reagents 7 and 8) should be prepared right before each assay.


As DAB is a carcinogen, please take necessary precautions.

Important Note: This product as supplied is intended for research use only, not for use in human, therapeutic or diagnostic applications.