Receive 30% off all Monoclonal IHC antibodies with code "MONO-IHC-30"! Offer valid for US customers and available internationally through distributors.

Human PMEL Ready-To-Use IHC Kit

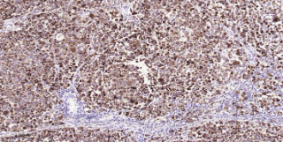
Immunohistochemical analysis of paraffin embedded Human melanoma tissue slide using IHC0524H (Human PMEL Kit).
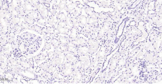
Immunohistochemical analysis of paraffin embedded Human kidney tissue slide using IHC0524H (Human PMEL Kit).

Human PMEL Ready-To-Use IHC Kit

Cat. No.: IHC0524H
Sample Type:
FFPE tissue
Size:
50T (including a control slide)
Storage and Stability:
Please store components at the temperatures indicated on the individual tube labels. The kit is stable for 6 months from the date of receipt.

Background

Melanoma is a malignant tumor of melanocytes which are found predominantly in skin but also in the bowel and the eye (see uveal melanoma). It is one of the rarer types of skin cancer but causes the majority of skin cancer related deaths.

Synonyms

D12S53E; P100; PMEL; PMEL17; 95 kDa melanocyte specific secreted glycoprotein; 95 kDa melanocyte-specific secreted glycoprotein; D12S53E; gp100; M-beta; ME20; ME20 M/ME20 S; ME20-M; ME20-S; ME20M; ME20M/ME20S; ME20S; Melanocyte lineage specific antigen GP100; Melanocyte protein mel 17; Melanocyte protein Pmel 17; Melanocyte protein Pmel 17 precursor; Melanocytes lineage-specific antigen GP100; Melanoma associated ME20 antigen; Melanoma gp100; Melanoma-associated ME20 antigen; Melanosomal matrix protein 17; Melanosomal matrix protein17; P1; p100; p26; PMEL 17; PMEL; PMEL_HUMAN; PMEL17; Premelanosome protein; Secreted melanoma-associated ME20 antigen; SI; SIL; SILV; Silver (mouse homolog) like; Silver homolog; Silver locus protein homolog.Validation Data

Materials Supplied

Number Component 50T Concentration Storage
1 PBS Buffer (powder) 2L x 2 20x RT
2 Antigen Retrieval Buffer 20ml 100x 2-8°C
3 Endogenous Peroxidase Blocking Buffer 3ml RTU 2-8°C
4 Blocking Buffer 3ml RTU 2-8°C
5 Primary Antibody (Human PMEL Recombinant Rabbit mAb) 6ml RTU 2-8°C
6 Secondary Antibody (Goat Anti-Rabbit IgG H&L, HRP conjugated) 6ml RTU 2-8°C
7 Chromogen Component A 0.3ml RTU -20°C
8 Chromogen Component B 0.3ml RTU -20°C
9 Counter Staining Reagent 5ml RTU RT
10 Differentiation Reagent 6ml RTU RT
11 Mounting Media 5ml RTU RT
12 Control slide (Human melanoma) 1 slide RTU RT
13 Datasheet 1 copy

Notes

  1. The positive control slide provided in the kit allows you to be sure that the experimental set-up is working properly.
  2. Do not allow slides to dry at any time during this procedure.
  3. Please don't replace the matching reagents in this product with other manufacturers' products.
  4. As DAB is a carcinogen, please take necessary precautions.
  5. PBS (reagent 1) can be stored for one week at 4℃ after preparation; The antigen retrieval buffer (1×reagent 2) and the chromogenic agent (the mixture of reagents 7 and 8) should be prepared right before each assay.


As DAB is a carcinogen, please take necessary precautions.

Important Note: This product as supplied is intended for research use only, not for use in human, therapeutic or diagnostic applications.