Receive 30% off all Monoclonal IHC antibodies with code "MONO-IHC-30"! Offer valid for US customers and available internationally through distributors.

Human LHB Ready-To-Use IHC Kit

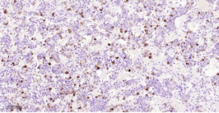
Immunohistochemical analysis of paraffin embedded Human pituitary gland tissue slide using IHC0544H (Human LHB Kit).

Human LHB Ready-To-Use IHC Kit

Cat. No.: IHC0544H
Sample Type:
FFPE tissue
Size:
50T (including a control slide)
Storage and Stability:
Please store components at the temperatures indicated on the individual tube labels. The kit is stable for 6 months from the date of receipt.

Background

This gene is a member of the glycoprotein hormone beta chain family and encodes the beta subunit of luteinizing hormone (LH). Glycoprotein hormones are heterodimers consisting of a common alpha subunit and an unique beta subunit which confers biological specificity. LH is expressed in the pituitary gland and promotes spermatogenesis and ovulation by stimulating the testes and ovaries to synthesize steroids. The genes for the beta chains of chorionic gonadotropin and for luteinizing hormone are contiguous on chromosome 19q13.3. Mutations in this gene are associated with hypogonadism which is characterized by infertility and pseudohermaphroditism.

Synonyms

HH23; LH; LH-B; LSH-B; LSH-beta; luteinizing hormone beta; CGB 4; CGB4; hLHB; Interstitial cell stimulating hormone; Interstitial cell stimulating hormone beta chain; Leutropin; LH B; LHB; LSH B; LSH beta; LSHB; Luteinising hormone; Luteinizing hormone beta; Luteinizing hormone beta polypeptide; Luteinizing hormone beta subunit; Luteinizing hormone subunit beta; Lutropin beta chain; Lutropin beta chain precursor; Lutropin subunit beta.Validation Data

Materials Supplied

Number Component 50T Concentration Storage
1 PBS Buffer (powder) 2L x 2 20x RT
2 Antigen Retrieval Buffer 20ml 100x 2-8°C
3 Endogenous Peroxidase Blocking Buffer 3ml RTU 2-8°C
4 Blocking Buffer 3ml RTU 2-8°C
5 Primary Antibody (Human LHB Recombinant Rabbit mAb) 6ml RTU 2-8°C
6 Secondary Antibody (Goat Anti-Rabbit IgG H&L, HRP conjugated) 6ml RTU 2-8°C
7 Chromogen Component A 0.3ml RTU -20°C
8 Chromogen Component B 0.3ml RTU -20°C
9 Counter Staining Reagent 5ml RTU RT
10 Differentiation Reagent 6ml RTU RT
11 Mounting Media 5ml RTU RT
12 Control slide (Human pituitary gland) 1 slide RTU RT
13 Datasheet 1 copy

Notes

  1. The positive control slide provided in the kit allows you to be sure that the experimental set-up is working properly.
  2. Do not allow slides to dry at any time during this procedure.
  3. Please don't replace the matching reagents in this product with other manufacturers' products.
  4. As DAB is a carcinogen, please take necessary precautions.
  5. PBS (reagent 1) can be stored for one week at 4℃ after preparation; The antigen retrieval buffer (1×reagent 2) and the chromogenic agent (the mixture of reagents 7 and 8) should be prepared right before each assay.


As DAB is a carcinogen, please take necessary precautions.

Important Note: This product as supplied is intended for research use only, not for use in human, therapeutic or diagnostic applications.