Receive 30% off all Monoclonal IHC antibodies with code "MONO-IHC-30"! Offer valid for US customers and available internationally through distributors.

Mouse MUC1 Ready-To-Use IHC Kit

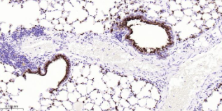
Immunohistochemical analysis of paraffin embedded Mouse lung tissue slide using IHC0549M (Mouse MUC1 Kit).

Mouse MUC1 Ready-To-Use IHC Kit

Cat. No.: IHC0549M
Sample Type:
FFPE tissue
Size:
50T (including a control slide)
Storage and Stability:
Please store components at the temperatures indicated on the individual tube labels. The kit is stable for 6 months from the date of receipt.

Background

MUC1 (Mucin 1, Episialin, MAM-6, CA 15-3, PEM and EMA) is a large cell surface mucin glycoprotein expressed by most glandular and ductal epithelial cells and some hematopoietic cell lineages. MUC1 is a transmembrane glycoprotein with a large mucin-like extracellular domain that matures through several intermediate forms generated by proteolysis, and sequential addition and processing of numerous O-linked glycans that are heavily sialylated. MUC1 is highly polymorphic and each allele encodes a product that contains a different number of repeats (between 30 and 90) leading to large differences in molecular weight of the protein. MUC1 is expressed on most secretory epithelium, including mammary gland and some hematopoietic cells, and is expressed abundantly in >90% breast carcinomas and metastases. Transgenic MUC1 has been shown to associate with all four cebB receptors and localize with erbB1 (EGFR) in lactating glands. The MUC1 gene contains seven exons and produces several different alternatively spliced variants. Overexpression, aberrant intracellular localization, and changes in glycosylation of the MUC1 protein have been associated with carcinomas. Multiple alternatively spliced transcript variants that encode different isoforms of the MUC1 gene have been reported, but the full-length nature of only some has been determined. Transgenic MUC-1 has been shown to associate with all four cebB receptors and localize with erbB1 (EGFR) in lactating glands.

Synonyms

Materials Supplied

Number Component 50T Concentration Storage
1 PBS Buffer (powder) 2L x 2 20x RT
2 Antigen Retrieval Buffer 20ml 100x 2-8°C
3 Endogenous Peroxidase Blocking Buffer 3ml RTU 2-8°C
4 Blocking Buffer 3ml RTU 2-8°C
5 Primary Antibody (Mouse MUC1 Recombinant Rabbit mAb) 6ml RTU 2-8°C
6 Secondary Antibody (Goat Anti-Rabbit IgG H&L, HRP conjugated) 6ml RTU 2-8°C
7 Chromogen Component A 0.3ml RTU -20°C
8 Chromogen Component B 0.3ml RTU -20°C
9 Counter Staining Reagent 5ml RTU RT
10 Differentiation Reagent 6ml RTU RT
11 Mounting Media 5ml RTU RT
12 Control slide (Mouse kidney) 1 slide RTU RT
13 Datasheet 1 copy

Notes

  1. The positive control slide provided in the kit allows you to be sure that the experimental set-up is working properly.
  2. Do not allow slides to dry at any time during this procedure.
  3. Please don't replace the matching reagents in this product with other manufacturers' products.
  4. As DAB is a carcinogen, please take necessary precautions.
  5. PBS (reagent 1) can be stored for one week at 4℃ after preparation; The antigen retrieval buffer (1×reagent 2) and the chromogenic agent (the mixture of reagents 7 and 8) should be prepared right before each assay.


As DAB is a carcinogen, please take necessary precautions.

Important Note: This product as supplied is intended for research use only, not for use in human, therapeutic or diagnostic applications.