Receive 30% off all Monoclonal IHC antibodies with code "MONO-IHC-30"! Offer valid for US customers and available internationally through distributors.

Mouse GRP94 Ready-To-Use IHC Kit

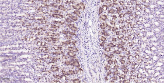
Immunohistochemical analysis of paraffin embedded Mouse colon tissue slide using IHC0551M (Mouse GRP94 Kit).
Immunohistochemical analysis of paraffin embedded Mouse stomach tissue slide using IHC0551M (Mouse GRP94 Kit).

Mouse GRP94 Ready-To-Use IHC Kit

Cat. No.: IHC0551M
Sample Type:
FFPE tissue
Size:
50T (including a control slide)
Storage and Stability:
Please store components at the temperatures indicated on the individual tube labels. The kit is stable for 6 months from the date of receipt.

Background

GRP94 is a 803 amino acid protein belonging to the heat shock protein 90 family. It acts as a molecular chaperone that functions in the processing and transport of secreted proteins. GRP94 and its N-terminal fragment stimulates CTL expansion and maturation of human monocyte-derived dendritic cells (MDDC). It plays a central role in innate as well as acquired immunity, maturation and chemotaxis of dendritic cells, Ab production, cross-priming, as a potential marker in breast cancer and is a peptide acceptor in endoplasmic reticulum and an accessory to peptide loading of MHC class I molecules. Expression of GRP94 suppressed A23187-induced apoptosis and stabilized calcium homeostasis. GRP94 is expressed in melanoma or liver metastases of colon carcinoma cells, human gastric carcinoma BGC-823 cells.

Synonyms

ECGP; endoplasmin; ERp99; GP96; GRP94; HEL-S-125m; HEL35; HSP90B1; HSPC4; TA-3; Targ2; Tra-1; TRA1.Validation Data

Materials Supplied

Number Component 50T Concentration Storage
1 PBS Buffer (powder) 2L x 2 20x RT
2 Antigen Retrieval Buffer 20ml 100x 2-8°C
3 Endogenous Peroxidase Blocking Buffer 3ml RTU 2-8°C
4 Blocking Buffer 3ml RTU 2-8°C
5 Primary Antibody (Mouse GRP94 Recombinant Rabbit mAb) 6ml RTU 2-8°C
6 Secondary Antibody (Goat Anti-Rabbit IgG H&L, HRP conjugated) 6ml RTU 2-8°C
7 Chromogen Component A 0.3ml RTU -20°C
8 Chromogen Component B 0.3ml RTU -20°C
9 Counter Staining Reagent 5ml RTU RT
10 Differentiation Reagent 6ml RTU RT
11 Mounting Media 5ml RTU RT
12 Control slide (Mouse brain) 1 slide RTU RT
13 Datasheet 1 copy

Notes

  1. The positive control slide provided in the kit allows you to be sure that the experimental set-up is working properly.
  2. Do not allow slides to dry at any time during this procedure.
  3. Please don't replace the matching reagents in this product with other manufacturers' products.
  4. As DAB is a carcinogen, please take necessary precautions.
  5. PBS (reagent 1) can be stored for one week at 4℃ after preparation; The antigen retrieval buffer (1×reagent 2) and the chromogenic agent (the mixture of reagents 7 and 8) should be prepared right before each assay.


As DAB is a carcinogen, please take necessary precautions.

Important Note: This product as supplied is intended for research use only, not for use in human, therapeutic or diagnostic applications.