Receive 30% off all Monoclonal IHC antibodies with code "MONO-IHC-30"! Offer valid for US customers and available internationally through distributors.

Mouse smooth muscle Myosin heavy chain 11 Ready-To-Use IHC Kit

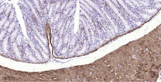
Immunohistochemical analysis of paraffin embedded Mouse colon tissue slide using IHC0555M (Mouse MYH11 Kit).

Mouse smooth muscle Myosin heavy chain 11 Ready-To-Use IHC Kit

Cat. No.: IHC0555M
Sample Type:
FFPE tissue
Size:
50T (including a control slide)
Storage and Stability:
Please store components at the temperatures indicated on the individual tube labels. The kit is stable for 6 months from the date of receipt.

Background

SM-MHC is a cytoplasmic structural protein, which is a major component of the contractile apparatus in smooth muscle cells. Expression of smooth muscle myosin is developmently regulated, appearing early in smooth muscle development, and is specific for smooth muscle development. Two isoforms of smooth muscle myosin heavy chain have been identified, designated MHC-1 and MHC-2.

Synonyms

smooth muscle Myosin heavy chain 11; SMMHC; Myosin 11; Myosin-11; Myosin; smooth muscle; heavy chain; Myosin Smooth Muscle; AAT 4; AAT4; DKFZp686D10126; DKFZp686D19237; FAA 4; FAA4; FLJ35232; KIAA0866; MGC126726; MGC32963; MYH 11; MYH11 protein; Myosin heavy chain 11 smooth muscle; Myosin heavy chain smooth muscle isoform; Myosin heavy polypeptide 11 smooth muscle; Myosin11; SMHC; Smooth muscle myosin heavy chain isoform SM1; MYH11_HUMAN.Validation Data

Materials Supplied

Number Component 50T Concentration Storage
1 PBS Buffer (powder) 2L x 2 20x RT
2 Antigen Retrieval Buffer 20ml 100x 2-8°C
3 Endogenous Peroxidase Blocking Buffer 3ml RTU 2-8°C
4 Blocking Buffer 3ml RTU 2-8°C
5 Primary Antibody (Mouse smooth muscle Myosin heavy chain 11 Recombinant Rabbit mAb) 6ml RTU 2-8°C
6 Secondary Antibody (Goat Anti-Rabbit IgG H&L, HRP conjugated) 6ml RTU 2-8°C
7 Chromogen Component A 0.3ml RTU -20°C
8 Chromogen Component B 0.3ml RTU -20°C
9 Counter Staining Reagent 5ml RTU RT
10 Differentiation Reagent 6ml RTU RT
11 Mounting Media 5ml RTU RT
12 Control slide (Mouse colon) 1 slide RTU RT
13 Datasheet 1 copy

Notes

  1. The positive control slide provided in the kit allows you to be sure that the experimental set-up is working properly.
  2. Do not allow slides to dry at any time during this procedure.
  3. Please don't replace the matching reagents in this product with other manufacturers' products.
  4. As DAB is a carcinogen, please take necessary precautions.
  5. PBS (reagent 1) can be stored for one week at 4℃ after preparation; The antigen retrieval buffer (1×reagent 2) and the chromogenic agent (the mixture of reagents 7 and 8) should be prepared right before each assay.


As DAB is a carcinogen, please take necessary precautions.

Important Note: This product as supplied is intended for research use only, not for use in human, therapeutic or diagnostic applications.