Receive 30% off all Monoclonal IHC antibodies with code "MONO-IHC-30"! Offer valid for US customers and available internationally through distributors.

Rat GP1BA Ready-To-Use IHC Kit

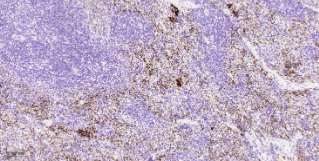
Immunohistochemical analysis of paraffin embedded Rat spleen tissue slide using IHC0557R (Rat GP1BA Kit).

Rat GP1BA Ready-To-Use IHC Kit

Cat. No.: IHC0557R
Sample Type:
FFPE tissue
Size:
50T (including a control slide)
Storage and Stability:
Please store components at the temperatures indicated on the individual tube labels. The kit is stable for 6 months from the date of receipt.

Background

CD42b is a platelet activation marker involved in the process of coagulation as an aggregating factor. It interacts with extracellular matrix as well as with adhesion molecules. CD42b expression and activation seems to be regulated by VEGF and PDGF. CD42b composes together with GPIb beta, GPIX and GPV the GPIb-IX-V receptor complex critical in the process of platelet-rich thrombus formation by tethering the platelet to a thrombogenic surface. CD42b binds to von Willebrand factor (VWF) exposed at a site of vascular injury, as well as to thrombin, coagulation factors XI and XII, high molecular wight kininogen, TSP-1, integrin Mac-1 and P-selectin. The extracellular domain of CD42b by its interactions also contributes to metastasis. Further, CD42b antigen is expressed on platelets and on megakaryocytes in bone marrow. Several polymorphisms and mutations have been described in the CD42b, some of which are the cause of Bernard-Soulier syndromes and platelet-type von Willebrand disease.

Synonyms

BDPLT1; BDPLT3; BSS; CD42B; CD42b-alpha; DBPLT3; GP1B; GP1BA; GPIbA; GPIbalpha; VWDP.Validation Data

Materials Supplied

Number Component 50T Concentration Storage
1 PBS Buffer (powder) 2L x 2 20x RT
2 Antigen Retrieval Buffer 20ml 100x 2-8°C
3 Endogenous Peroxidase Blocking Buffer 3ml RTU 2-8°C
4 Blocking Buffer 3ml RTU 2-8°C
5 Primary Antibody (Rat GP1BA Recombinant Rabbit mAb) 6ml RTU 2-8°C
6 Secondary Antibody (Goat Anti-Rabbit IgG H&L, HRP conjugated) 6ml RTU 2-8°C
7 Chromogen Component A 0.3ml RTU -20°C
8 Chromogen Component B 0.3ml RTU -20°C
9 Counter Staining Reagent 5ml RTU RT
10 Differentiation Reagent 6ml RTU RT
11 Mounting Media 5ml RTU RT
12 Control slide (Rat spleen) 1 slide RTU RT
13 Datasheet 1 copy

Notes

  1. The positive control slide provided in the kit allows you to be sure that the experimental set-up is working properly.
  2. Do not allow slides to dry at any time during this procedure.
  3. Please don't replace the matching reagents in this product with other manufacturers' products.
  4. As DAB is a carcinogen, please take necessary precautions.
  5. PBS (reagent 1) can be stored for one week at 4℃ after preparation; The antigen retrieval buffer (1×reagent 2) and the chromogenic agent (the mixture of reagents 7 and 8) should be prepared right before each assay.


As DAB is a carcinogen, please take necessary precautions.

Important Note: This product as supplied is intended for research use only, not for use in human, therapeutic or diagnostic applications.